What is dental calculus and how does it form?

Dental calculus (tartar) is a hard, calcified deposit that builds up on the tooth surface and along the gumline. It develops when food debris and bacteria accumulate as dental plaque and are not regularly removed by toothbrushing and flossing.
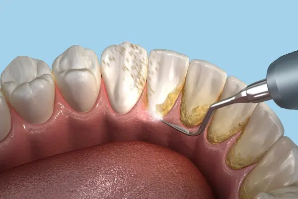
When plaque remains on the teeth for a prolonged period, it interacts with the minerals and salts in saliva and gradually hardens into dental calculus, which appears yellow to brown and cannot be removed with routine home cleaning methods.
Tartar typically forms in areas that are hard to reach during brushing, such as the inner surfaces behind the lower front teeth and around the molars. Its buildup increases with poor oral hygiene, smoking, dry mouth, and frequent consumption of sugary foods and drinks.
The accumulation of dental calculus does more than just affect the appearance and color of the teeth; it also creates an ideal environment for bacteria that cause gingivitis, bad breath, and tooth decay. For this reason, professional dental scaling and tartar removal at the dentist’s office is essential for maintaining long‑term oral and dental health.
Causes of Dental Calculus (Tartar) Buildup
Poor Daily Oral Hygiene
Inadequate day‑to‑day oral hygiene is one of the main reasons tartar (calculus) builds up on teeth. Food remnants and dental plaque quickly harden into calculus if they are not removed regularly.
When toothbrushing with fluoride toothpaste twice a day is neglected, or dental floss is not used to clean the spaces between teeth, a plaque layer rich in bacteria accumulates on tooth surfaces and along the gumline.
Over time, minerals in the saliva react with this layer and transform it into hard tartar that is difficult to remove with routine home care and usually requires professional scaling by a dentist or dental hygienist.
Maintaining a consistent daily oral care routine is therefore the first step in preventing tartar buildup and reducing the need for frequent scaling sessions.
Diet (Sugars and Starches)
A diet high in sugars and refined carbohydrates is a major contributor to increased tartar accumulation.
Sugary foods and drinks, pastries, white bread, and fried potatoes adhere easily to tooth surfaces and provide an ideal nutrient source for oral bacteria.
These bacteria metabolize sugars into acids that weaken the tooth enamel and promote plaque formation, which later mineralizes into tartar if not properly removed.
The more frequently sugars and starches are consumed throughout the day, the longer the teeth remain exposed to plaque and the higher the risk of tartar buildup.
Adjusting the diet, cutting down on sugary snacks between meals, and drinking water after eating directly help reduce tartar formation and support healthy gums.
Smoking
Smoking is a powerful factor that accelerates tartar buildup and causes discoloration of the teeth, turning them yellow or dark brown.
It alters the composition of saliva and increases plaque adherence to tooth surfaces, leading to faster and thicker tartar deposits compared with non‑smokers.
Nicotine and tar also stick to the teeth and gums, creating a favorable environment for bacterial accumulation and for plaque to calcify into hard tartar.
Moreover, smoking weakens the immune response of the gums and their ability to fight inflammation, increasing the risk of gum disease associated with tartar accumulation.
Quitting or at least reducing smoking is an essential part of preventing tartar buildup and improving overall oral health.
Orthodontic Appliances and Dental Devices
Orthodontic appliances and fixed dental prostheses can increase the likelihood of tartar formation—not because they directly cause it, but because they make daily cleaning more challenging.
Brackets, wires, bridges, and crowns create small niches and spaces where food debris and plaque easily accumulate, especially along the gumline and between teeth.
If orthodontic floss, interdental brushes, and a suitable toothbrush are not used correctly, this plaque rapidly hardens into tartar, particularly in hard‑to‑reach areas.
People wearing braces or any fixed dental appliances therefore require extra oral hygiene measures and regular dental check‑ups to remove tartar early, before it leads to gingivitis or tooth decay.
Medical Conditions and Medications Affecting Saliva
Saliva plays a key protective role for the teeth, helping to wash away food particles and neutralize acids, thereby reducing plaque and tartar buildup.
Certain conditions such as diabetes, Sjögren’s syndrome, and salivary gland disorders, as well as aging itself, can reduce salivary flow and cause dry mouth (xerostomia).
Many medications—including antidepressants, antihistamines, and some antihypertensive and antiepileptic drugs—can also cause dry mouth as a side effect.
When saliva flow decreases, the mouth becomes more prone to plaque accumulation and its rapid mineralization into tartar, raising the risk of dental caries and gum inflammation.
Managing dry mouth, drinking adequate amounts of water, and consulting the physician about alternative medications or strategies to reduce dryness all help limit tartar buildup and preserve oral health.
Risks of Tartar Buildup on Oral Health

Tartar buildup on teeth doesn’t just cause an unsightly appearance and yellowish discoloration; it poses a real threat to the health of the teeth, gums, and entire mouth.
When tartar (dental calculus) is not removed regularly, bacteria accumulate on its rough surface, which increases the risk of gingival inflammation, gum bleeding, and swelling. Over time, this may progress to chronic gingivitis or even periodontitis, leading to gum recession and exposure of the tooth roots.
If tartar is neglected for a prolonged period, it can contribute to the breakdown of the supporting bone around the teeth, causing increased tooth mobility and, in advanced stages, complete tooth loss.
In addition, accumulated tartar creates an ideal environment for dental caries, persistent halitosis (bad breath), and makes effective brushing and flossing much more difficult.
Understanding the risks of tartar buildup and committing to regular professional scaling and cleaning by a dentist are essential steps to maintaining a healthy smile and fresh breath over the long term.
When Do You Need Professional Dental Scaling (Tartar Removal)?
You should consider having your teeth professionally scaled when you notice signs such as gum bleeding while brushing or flossing, persistent bad breath, redness or swelling of the gums, or a change in tooth color with a hard yellow or brown deposit forming along the gumline.
Increased tooth sensitivity to hot or cold foods and drinks, gum recession, or the appearance of longer-looking teeth due to exposed roots are also strong indicators of tartar buildup and the need to see a dentist for professional tartar removal (scaling).
Even if you don’t have obvious symptoms, dentists recommend a professional cleaning and tartar removal at least every six months to prevent gum disease and dental caries. Tartar (calculus) is a hardened deposit that cannot be removed with regular toothbrushing and requires specialized instruments used in the dental office.
Sticking to this schedule helps maintain healthy teeth and gums and protects you from complications that can eventually lead to tooth mobility and tooth loss over time.
Professional Tartar Removal Techniques at Dr. Amir Zahrawi’s Clinic
At Dr. Amir Zahrawi’s clinic, tartar (calculus) is removed using state-of-the-art techniques that ensure precise and safe elimination of tartar and dental plaque without damaging the enamel.
The appointment begins with a comprehensive oral examination to assess the amount of tartar buildup and check for any signs of gum inflammation. The dentist then uses an ultrasonic scaler (ultrasonic cleaning) to gently and effectively break down hardened tartar deposits around the teeth and below the gumline.
Afterward, a professional polishing is performed to remove superficial stains and leave the teeth smoother and shinier, which helps reduce future tartar accumulation.
In cases where tartar extends deeper under the gums or there is advanced gum disease, Dr. Amir may recommend deep cleaning (scaling and root planing) to thoroughly remove deposits from periodontal pockets and support the healing of the bone and tissues that hold the teeth in place.
All tartar removal procedures at the clinic follow up‑to‑date clinical guidelines and strict sterilization protocols, making them an excellent choice for anyone seeking safe, professional, and long‑lasting tartar removal—especially when combined with proper home oral care.
Ultrasonic Scaling
At Dr. Amir Zahrawi’s clinic, ultrasonic scaling is used as a safe and effective option to remove tartar (calculus) and dental plaque from tooth surfaces above the gum line.
The dentist uses a specialized ultrasonic scaler that emits high‑frequency vibrations to break down hard tartar deposits without damaging the tooth enamel.
This method allows rapid removal of calculus while minimizing pain and discomfort, making it particularly suitable for patients who are anxious about traditional hand instruments.
Ultrasonic scaling also enables access to tight spaces between teeth and around fixed restorations, helping prevent gingivitis, periodontal problems, and bad breath.
This technique is one of the key professional methods used at Dr. Amir Zahrawi’s clinic to keep your smile clean and healthy.
Scaling and Root Planing (Deep Cleaning)
When tartar builds up below the gum line or is associated with advanced gum inflammation, Dr. Amir Zahrawi may recommend scaling and root planing, commonly known as deep cleaning.
In this procedure, subgingival calculus is carefully removed and periodontal pockets are thoroughly cleaned, followed by smoothing (planing) of the root surfaces to reduce future bacterial and tartar accumulation.
Scaling and root planing is a crucial step in managing chronic gum disease and helping to prevent gum recession and tooth mobility.
The procedure is performed under light local anesthesia to ensure patient comfort, and is considered one of the more advanced tartar‑removal approaches available at Dr. Amir Zahrawi’s clinic for long‑term gum health.
Polishing After Scaling
Once tartar has been removed at Dr. Amir Zahrawi’s clinic, tooth polishing is performed as a complementary step to complete the cleaning process.
The dentist uses special polishing pastes along with soft rotary instruments to eliminate remaining superficial stains and leave the tooth surface smoother and shinier.
Post‑scaling polishing helps reduce future plaque and tartar adherence, enhances the appearance of the smile, and makes the teeth look naturally cleaner and slightly brighter.
Polishing also provides an immediate feeling of cleanliness and freshness, and maximizes the benefits of the tartar‑removal procedures performed at Dr. Amir Zahrawi’s clinic.
Advanced GBT Technology
Dr. Amir Zahrawi’s clinic offers Guided Biofilm Therapy (GBT) as one of the most advanced techniques for removing tartar and bacterial plaque.
GBT relies on disclosing dyes to highlight biofilm, precisely identifying where bacteria accumulate, then gently removing it using state‑of‑the‑art devices that combine air, water, and specially formulated powders that are safe for enamel and gums.
This technique is less uncomfortable than conventional methods and provides thorough cleaning around teeth, gums, dental implants, and orthodontic appliances.
Guided Biofilm Therapy is among the latest professional tartar‑removal options available at Dr. Amir Zahrawi’s clinic, ideal for patients seeking highly precise, comfortable cleaning with minimal sensitivity and pain.
How many sessions are needed for tartar removal?

The number of sessions required to remove dental calculus (tartar) depends on how much has built up, the condition of your gums, and your overall oral health.
In mild cases, one comprehensive scaling session is often enough. This usually takes about 30–60 minutes, especially if you visit the dentist regularly every six months.
In more advanced cases, where there is heavy tartar buildup along with gum inflammation or bleeding, the dentist may recommend dividing the deep cleaning (scaling and root planing) into two or more sessions. This allows for gradual cleaning of the teeth and gums and helps reduce discomfort and post-treatment sensitivity.
Routine professional cleaning is not only about removing visible deposits; it also helps prevent gingivitis and gum recession, and protects teeth from decay and eventual tooth loss over the long term.
It is best to consult your dentist for an accurate assessment and to determine how many scaling sessions you personally need, while maintaining regular check-ups to keep your teeth clean and reduce the need for multiple intensive sessions in the future.
After Scaling and Tartar Removal: What Should You Do?
After having tartar removed (professional dental scaling), it’s essential to follow a few simple steps to protect your gums and teeth and to maintain the results for as long as possible.
Dentists usually advise avoiding foods and drinks with strong pigments—such as coffee, tea, and soft drinks—for 24–48 hours after scaling, because the enamel is more susceptible to staining during this period. It’s also best to steer clear of very hard or very spicy foods in the same timeframe to reduce tooth sensitivity and gum irritation.
Make sure to brush your teeth twice a day using a fluoride toothpaste, and use dental floss or interdental brushes to remove food debris between the teeth that could eventually calcify and form new tartar.
An antiseptic mouthwash prescribed or recommended by your dentist can also be used to reduce bacterial load and soothe the gums after the procedure.
Experiencing temporary tooth sensitivity after scaling is generally considered normal and can often be managed with toothpaste formulated for sensitive teeth. However, if the pain persists or you notice heavy or prolonged bleeding, you should contact your dentist for further evaluation.
Finally, schedule routine check‑ups and professional cleanings approximately every six months to remove tartar and monitor gum health. This is one of the most effective preventive strategies for maintaining a clean, healthy smile.
Why Choose Dr. Amir Al-Zahrawi’s Clinic for Professional Dental Scaling?

Dr. Amir Al-Zahrawi’s clinic is one of the leading options for patients seeking safe, effective, and virtually painless removal of dental calculus (tartar). The clinic uses state-of-the-art devices specifically designed for scaling and polishing the teeth, while preserving the integrity of the enamel.
Scaling is performed by a qualified dentist and follows strict infection-control and sterilization protocols to ensure maximum safety and minimize any risk of cross‑infection.
Before and after tartar removal, patients undergo a comprehensive examination of the teeth and gums, with a clear treatment plan provided when needed to address gingivitis, periodontal issues, or persistent bad breath.
Patients also receive practical, personalized guidance on how to prevent tartar build-up in the future, including proper home care techniques and how to choose the right toothbrush and toothpaste.
Thanks to the combination of clinical expertise, advanced technology, and attention to patient comfort and experience, Dr. Amir Al-Zahrawi’s clinic has become a preferred destination for anyone looking for optimal tartar removal and a healthier, more attractive smile that lasts.




