Main Causes of Weak Teeth

Calcium and Vitamin D Deficiency and Its Direct Impact on Tooth Structure
A lack of calcium and vitamin D is one of the main causes of weakened teeth, as both are essential for the development of bones and enamel from childhood through adulthood.
When their levels drop in the body, the enamel layer becomes thinner and less resistant, increasing the risk of dental caries as well as fractures and cracks even with minor pressure.
Vitamin D deficiency also impairs intestinal absorption of calcium, which further aggravates the fragility of teeth and the supporting bone.
For this reason, it is recommended to ensure an adequate intake of calcium- and vitamin D–rich foods, or to use supplements when necessary, particularly in people with osteoporosis or malabsorption disorders.
Enamel Erosion Caused by Acidic Foods and Beverages
Frequent consumption of acidic foods and drinks such as soft drinks, citrus juices, and energy drinks is a direct contributor to enamel weakening.
Acids gradually dissolve the enamel surface, stripping the teeth of their primary barrier against bacteria and other cariogenic factors.
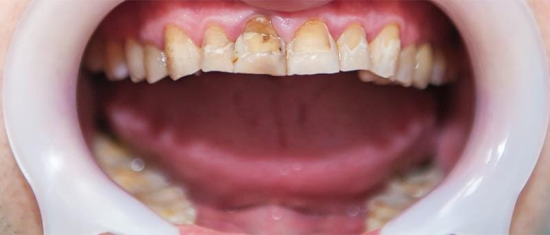
Over time, this leads to bothersome sensitivity to hot and cold foods, and may be accompanied by discoloration and surface cracks.
Reducing the frequency of these drinks, using a straw, and avoiding toothbrushing immediately after consuming them all help protect enamel and slow down its erosion.
Caries Due to Excess Sugar and Refined Carbohydrates
Excessive intake of sugars and sticky carbohydrates such as candies, cookies, and white bread is a major cause of tooth weakening.
Oral bacteria feed on these sugars and convert them into acids that attack the enamel and initiate the caries process.
In the absence of proper oral hygiene, decay progresses deeper into the dentin and pulp, causing severe pain and structural weakening that may end in tooth fracture or loss.
Controlling sugar intake, brushing after meals, and using a fluoride-containing toothpaste significantly reduces the risk of caries and weakened teeth.
Incorrect Brushing Technique (Excessive Force or Hard-Bristled Brushes)
Improper brushing habits are a common cause of weakened teeth, despite being practiced with the intention of care.
Using a hard-bristled toothbrush or applying excessive pressure while brushing can, over time, wear away enamel and cause gingival recession.
This erosion exposes the softer, more sensitive inner layers, increasing pain when eating or drinking and making teeth more susceptible to decay and fractures.
Dentists recommend using a soft-bristled toothbrush and a gentle brushing technique with small circular motions, avoiding harsh horizontal scrubbing that damages enamel and gums.
Bruxism and Its Effect on the Outer Tooth Surface
Bruxism, or involuntary grinding and clenching of the teeth—especially during sleep—is a significant cause of progressive tooth wear and weakening.
Repeated heavy pressure leads to enamel loss, flattened and cracked biting surfaces, and may extend damage into the dentin.
Over time, the risk of tooth sensitivity, temporomandibular joint (TMJ) pain, headaches, and microfractures increases.
Wearing a custom-made night guard prescribed by a dentist, along with addressing underlying stress and anxiety, helps protect teeth and preserve their strength.
Dry Mouth, Reduced Salivary Flow, and Loss of Natural Protection
Saliva is the mouth’s first natural line of defense against caries and tooth weakening, as it helps neutralize acids and clear food debris.
When dry mouth (xerostomia) and reduced salivary flow occur, acids and bacteria build up more easily on tooth surfaces, accelerating enamel erosion and decay.
Patients with diabetes, many older adults, and those taking certain medications are particularly prone to chronic dry mouth, making them more vulnerable to tooth weakening and periodontal problems.
Drinking adequate water, chewing sugar-free gum, and consulting a dentist about saliva substitutes are effective ways to mitigate the impact of dry mouth.
Effects of Certain Medications on Enamel and Saliva

Some medications can indirectly contribute to tooth weakening by reducing saliva production or affecting enamel integrity.
These include certain antidepressants, antihypertensives, antihistamines, and some cancer therapies that can cause severe dry mouth and alter the oral environment.
In children, long-term use of sugar-sweetened liquid medications can also increase caries risk if teeth are not cleaned properly afterward.
It is important to discuss medication side effects with the prescribing physician and to adopt additional oral care measures when taking drugs that impact salivary flow or enamel.
Chronic Diseases such as Diabetes and Malabsorption Disorders
Chronic illnesses are systemic contributors to tooth weakness, as they affect nutrition and immune defenses.
Poorly controlled diabetes increases the risk of periodontal inflammation and impairs blood flow to the gums and supporting bone, compromising tooth stability and strength.
Intestinal malabsorption disorders, such as celiac disease and inflammatory bowel diseases, may lead to deficiencies in calcium and vitamins essential for enamel and bone formation.
Good control of chronic conditions, a balanced diet, and regular dental check-ups help limit their impact on tooth strength.
Genetic Factors and Developmental Enamel Defects in Childhood
Genetic factors play an important role in dental health and strength; in some cases, enamel weakness is due to inherited defects in its formation from early childhood (e.g., amelogenesis imperfecta).
In such situations, the enamel is thin or poorly mineralized, making teeth more sensitive and more prone to decay and erosion even with good oral hygiene.
This may present as early yellowing, white or brown spots, or rapid wear of both primary and permanent teeth.
Children genetically predisposed to enamel defects require early and regular follow-up with a dentist, as well as preventive measures such as fluoride applications and protective sealants whenever possible.
Aging and Natural Thinning of Enamel
Advancing age is a natural factor in tooth weakening, as enamel gradually wears down over years of function.
With time, teeth may appear shorter and more yellow due to exposure of the underlying dentin, and sensitivity to temperature changes often increases.
Gingival recession and the loss of some teeth also concentrate chewing forces on remaining teeth, hastening their wear and weakening if left unaddressed.
Consistent oral hygiene, regular dental visits, and using toothpaste formulated for sensitive teeth help older adults maintain tooth strength as long as possible.
Dental Trauma and Injuries Affecting Tooth Structure
Direct trauma to the mouth—such as from falls, accidents, or sports injuries—can cause fractures or cracks that compromise long-term tooth integrity.
Even small, initially unnoticed cracks may progress over time, allowing bacteria and moisture to penetrate the tooth, ultimately leading to decay and infection.
Trauma can also damage the root or surrounding bone, reducing tooth stability and increasing the risk of future tooth loss.
Any injury to the teeth or jaws should be evaluated promptly by a dentist to assess the damage and develop a treatment plan that preserves tooth strength.
Malocclusion and Uneven Distribution of Bite Forces
Malocclusion or bite problems (such as open bite, deep bite, or crossbite) result in an uneven distribution of occlusal forces.
This imbalance causes localized wear on certain teeth, enamel cracks, and pain in the masticatory muscles and TMJ.
Over time, the teeth under excessive load weaken, and their edges may wear down or fracture easily.
Orthodontic treatment and bite correction help redistribute forces more evenly, protecting teeth from premature weakening and improving chewing efficiency and facial aesthetics.
Loss of Posterior Teeth and Its Effect on Oral Balance
Loss of posterior teeth without replacement is an important indirect cause of weakening the remaining dentition.
In the absence of molars, chewing forces shift to the anterior teeth, which are not designed to sustain such heavy loads, leading to their wear, mobility, and gingival recession.
Adjacent teeth may tip into the edentulous spaces, and opposing teeth may over-erupt, disrupting occlusal balance and increasing abnormal wear and stress.
Replacing missing teeth with implants, fixed bridges, or removable dentures helps restore occlusal harmony and reduce weakening of the remaining teeth.
Smoking and Its Effect on the Periodontium and Tooth Support

Smoking is a powerful risk factor that accelerates tooth weakening through its detrimental effects on the gums and supporting bone.
It reduces blood flow to the gingiva and impairs immune response, increasing the likelihood of chronic periodontitis and bone loss around teeth.
Over time, the gums recede, roots become exposed, and teeth loosen and may be lost even in the absence of extensive caries.
Smoking cessation, combined with meticulous oral care, markedly improves periodontal health and reduces the risk of tooth loss and weakening.
Poor Daily Oral Hygiene and the Build-Up of Plaque and Calculus
Neglecting regular toothbrushing and flossing allows dental plaque (bacterial biofilm) to accumulate on tooth surfaces.
Over time, plaque mineralizes into calculus (tartar), which cannot be removed by brushing alone and provides an ideal environment for cariogenic and periodontopathogenic bacteria.
This persistent accumulation leads to enamel demineralization, formation of carious lesions, and weakening of the periodontal ligament that holds teeth in place.
Brushing twice daily, using dental floss, and visiting the dentist for professional scaling every six months are key steps to protect teeth from premature weakening.
Can more than one cause occur at the same time?
Yes. In many cases, weakened teeth are the result of several factors acting together rather than a single cause, which explains why some people’s dental condition deteriorates quickly.
For example, a person may have calcium and vitamin D deficiency combined with poor nutrition, while at the same time neglecting oral hygiene, allowing plaque and tartar to build up, and frequently consuming sugary foods or soft drinks that erode tooth enamel and increase the risk of cavities.
Chronic conditions such as diabetes or thyroid disorders, along with certain medications that cause dry mouth (xerostomia), can also interact with other factors like smoking, psychological stress, and harmful oral habits such as using the teeth as tools or grinding/clenching the teeth at night (bruxism).
When these causes coincide, they contribute to enamel erosion, heightened tooth sensitivity, increased susceptibility to fractures, and gum inflammation. Therefore, when investigating the causes of weak teeth, it is important not to focus on a single factor. A comprehensive assessment of lifestyle, medical history, dietary patterns, and oral habits is essential to develop an effective treatment plan and prevent further deterioration.
How do you identify the real cause of weak teeth?
To identify the real cause of weak teeth, it’s not enough to just notice chipping or sensitivity. The symptoms need to be interpreted in the context of your lifestyle and confirmed through a thorough dental examination.
The dentist will start by taking a detailed medical history, asking about your eating habits (high sugar intake or frequent consumption of soft/acidic drinks), oral hygiene practices, smoking, long-term medications, and any underlying conditions such as diabetes or osteoporosis, as these are among the most common causes of weakened teeth and enamel erosion.
A clinical examination is then performed to check for deep dental caries, enamel erosion due to acid exposure or nighttime bruxism (teeth grinding), gum inflammation, gum recession with exposed roots, or fractures involving the internal structure of the tooth.
Dental X‑rays are often used to assess the density of the bone surrounding the teeth and to detect any hidden infections or damage not visible to the naked eye, which helps pinpoint the exact underlying cause.
By following these steps with your dentist, you can determine whether your teeth are weakened due to calcium and vitamin D deficiency, periodontal disease, or harmful habits. This allows you to develop an effective preventive treatment plan that stops the condition from worsening and helps maintain strong teeth over the long term.
When Does Tooth Weakness Become a Red Flag?
Tooth weakness becomes a genuine concern when you notice recurrent cavities despite good daily oral hygiene, visible cracks or wear in the enamel, pain or sensitivity when consuming hot or cold foods, or teeth that start shifting position without an obvious cause. In such cases, the problem may go beyond simple neglect of brushing and could be linked to systemic conditions such as diabetes, osteoporosis, calcium and vitamin D deficiency, or endocrine disorders.
In these situations, you should not rely on home remedies or painkillers alone. It’s essential to see a dentist promptly for a comprehensive examination and an accurate diagnosis of the underlying cause of tooth weakness.
Persistent bad breath, frequent gum bleeding, or gum recession (pulling away from the teeth) may indicate advanced periodontal disease, which can compromise the long‑term stability of your teeth.
The earlier tooth weakness is addressed, the better the chances of preserving your natural teeth and avoiding complex treatments such as root canal therapy or dental implants. For this reason, any unusual change in tooth strength, appearance, or sensitivity should never be ignored.
Contact Dr. Amir Ghayath Al‑Zahrawi’s Clinic to Diagnose the Underlying Cause of Your Weakened Teeth

If you suffer from weak teeth, frequent chipping, or bothersome sensitivity when consuming hot or cold foods, reaching out to Dr. Amir Ghayath Al‑Zahrawi’s clinic is an ideal medical step to accurately diagnose the cause of your weakened teeth and treat the underlying problem before it progresses.
At the clinic, your teeth and gums are examined both clinically and with dental X‑rays to determine whether the weakness is due to advanced dental caries, enamel erosion, calcium or vitamin deficiencies, dry mouth, or harmful daily habits such as teeth clenching/grinding or excessive intake of sugar and carbonated drinks.
With his expertise in cosmetic and restorative dentistry, Dr. Amir Ghayath Al‑Zahrawi will help you develop a personalized treatment plan to strengthen your teeth—this may include aesthetic fillings, professional fluoride treatments, or restoring compromised teeth with crowns—along with preventive guidance and healthy dietary habits that support long‑term tooth integrity.
By contacting Dr. Amir Ghayath Al‑Zahrawi’s clinic early, you are not only identifying the causes of tooth weakness, but also protecting yourself from future complications such as inflammation, premature tooth extraction, and tooth loss—helping you maintain a strong, healthy, and long‑lasting smile.




