جدول المحتويات
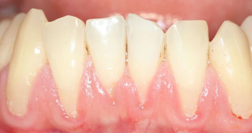
ما هو تراجع اللثة؟ وكيف يحدث؟
تراجع اللثة هو حالة تنسحب فيها أنسجة اللثة المحيطة بالأسنان تدريجيًا نحو الجذر، مما يؤدي إلى انكشاف جزء من جذور الأسنان وظهور الأسنان أطول من الطبيعي.
يحدث تراجع اللثة عندما تضعف الأنسجة الداعمة نتيجة التهابات اللثة المزمنة، أو تراكم البلاك والجير، أو تفريش الأسنان بقوة زائدة، أو استخدام فرشاة أسنان قاسية.
كما يمكن أن تساهم العوامل الوراثية، وسوء إطباق الأسنان، والتدخين، وجفاف الفم، وسوء العناية بصحة الفم والأسنان في زيادة خطر الإصابة بتراجع اللثة.
ومع تقدم الحالة قد يرافق تراجع اللثة حساسية مزعجة للأسنان، خاصة عند تناول الأطعمة الباردة أو الساخنة، مع احتمال ازدياد قابلية الأسنان للتسوس وفقدانها على المدى البعيد إذا لم يتم علاج المشكلة مبكرًا.
فهم ما هو تراجع اللثة وكيف يحدث يساعد على اكتشافه في مراحله الأولى والبدء في خطة علاجية فعّالة تحافظ على صحة الأسنان والابتسامة.

الأسباب الرئيسية لتراجع اللثة
يحدث تراجع اللثة عادة نتيجة اجتماع عدة عوامل تؤثر في صحة اللثة وعظام الفك المحيطة بالأسنان. يعد التهاب اللثة وأمراض اللثة المزمنة (أمراض دواعم السن) من أهم الأسباب، حيث تؤدي البكتيريا المتراكمة على سطح الأسنان وفي الجيوب اللثوية إلى تدمير الأنسجة الداعمة وانكشاف جذور الأسنان تدريجيًا.
كما يسهم تفريش الأسنان بقوة أو باستخدام فرشاة خشنة في تآكل حافة اللثة وتراجعها مع الوقت، خاصة في منطقة الأنياب والأضراس. تلعب العوامل الوراثية دورًا مهمًا أيضًا، فبعض الأشخاص لديهم قابلية أكبر للإصابة بتراجع اللثة حتى مع عناية فموية جيدة.
كذلك قد يؤدي سوء إطباق الأسنان أو صرير الأسنان الليلي إلى ضغط زائد على اللثة والعظم، ما يعجّل في انحسارها. ولا يمكن إغفال تأثير التدخين، حيث يضعف تدفق الدم إلى اللثة ويقلل قدرتها على التجدد ومقاومة الالتهابات.
إضافة إلى ذلك، قد تسهم التغيرات الهرمونية، ومرض السكري غير المسيطر عليه، وإهمال تنظيف الأسنان وترك الجير والبلاك لفترات طويلة في زيادة خطر تراجع اللثة وتفاقم الأعراض. هذه الأسباب مجتمعة تجعل الوقاية والفحص الدوري عند طبيب الأسنان أمرًا أساسيًا للحفاظ على صحة اللثة ومنع تراجعها.

الأعراض التي يجب الانتباه لها
من المهم التعرف مبكرًا على أعراض تراجع اللثة لتفادي تفاقم المشكلة وحدوث تلف دائم في الأسنان والأنسجة الداعمة. قد تلاحظ أولًا انحسار اللثة وظهور جزء أكبر من سطح السن أو الجذر، ما يجعل الأسنان تبدو أطول من المعتاد.
من الأعراض الشائعة أيضًا حساسية الأسنان عند تناول الأطعمة أو المشروبات الباردة أو الساخنة أو الحلوة، نتيجة انكشاف جذور الأسنان بسبب تراجع اللثة.
يمكن أن تشمل العلامات الأخرى احمرار اللثة أو تورمها، ونزيف اللثة أثناء تنظيف الأسنان بالفرشاة أو الخيط، أو ظهور فراغات بين الأسنان تشبه الجيوب التي قد تحتجز بقايا الطعام والبكتيريا. في بعض الحالات قد تشعر برائحة فم كريهة مستمرة أو طعم غير مستحب في الفم، وهي علامات على التهاب اللثة وتراكم البلاك والجير.
كما قد تشعر بحركة خفيفة في الأسنان أو تغيير في طريقة تطابق الأسنان عند الإطباق، وهي مؤشرات متقدمة على تراجع اللثة وتضرر العظم الداعم.
عند ملاحظة أي من هذه الأعراض المرتبطة بتراجع اللثة، ينبغي مراجعة طبيب الأسنان أو أخصائي أمراض اللثة بسرعة لتحديد السبب ووضع خطة علاج مبكرة تحافظ على صحة اللثة والأسنان.
المخاطر المترتبة على تراجع اللثة إذا لم يُعالج
يُعد تجاهل تراجع اللثة مشكلة خطيرة قد تؤدي إلى مضاعفات دائمة في صحة الفم والأسنان إذا لم يتم علاجها في الوقت المناسب. مع استمرار انحسار اللثة، تنكشف جذور الأسنان الحساسة، مما يسبب ألمًا شديدًا عند تناول الأطعمة الباردة أو الساخنة أو الحامضة، ويزيد من احتمالية تسوس الجذور بسبب صعوبة تنظيفها بشكل جيد.
كما يخلق تراجع اللثة فراغات وجيوب لثوية عميقة تتجمع فيها البكتيريا وال plaque، ما يرفع خطر الإصابة بالتهاب اللثة الحاد، ثم التهاب الأنسجة الداعمة للأسنان (التهاب دواعم السن) الذي قد يؤدي مع الوقت إلى تآكل العظم المحيط بالأسنان.
في حالات تراجع اللثة المتقدم، تضعف ثبات الأسنان داخل عظام الفك، لتبدأ بالتحرك ثم التساقط، وهو ما يؤثر على القدرة على المضغ والنطق، بالإضافة إلى تشوه الابتسامة وفقدان الثقة بالنفس.
كما يرتبط إهمال علاج أمراض اللثة، بما فيها تراجع اللثة، بزيادة خطر بعض المشكلات الصحية العامة مثل أمراض القلب والسكري غير المنضبط، نتيجة الانتشار المستمر للبكتيريا والالتهاب في الجسم.
لذلك فإن اكتشاف تراجع اللثة مبكرًا ومراجعة طبيب الأسنان أمر ضروري لتجنّب هذه المضاعفات والحفاظ على صحة اللثة والأسنان على المدى الطويل.
طرق العلاج التقليدية لتراجع اللثة
تعتمد طرق العلاج التقليدية لتراجع اللثة على إيقاف تطور المشكلة والحفاظ على الأسنان قدر الإمكان، وتشمل أولاً تنظيف الأسنان العميق لدى طبيب الأسنان (Scaling & Root Planing) لإزالة الجير وال plaque (البلاك) المتراكم تحت خط اللثة والذي يُعد السبب الرئيسي في التهاب اللثة وتراجعها.
في الحالات المتقدمة من تراجع اللثة قد يُوصي الطبيب بإجراء جراحة لثة تقليدية، مثل جراحة السديلة (Flap Surgery) لتنظيف الجذور والوصول إلى الجيوب اللثوية العميقة، أو تطعيم اللثة (Gum Graft) لتعويض أنسجة اللثة المفقودة وحماية جذور الأسنان المكشوفة. يُستخدم كذلك العلاج الدوائي المساعد، مثل غسول الفم المطهر والمضادات الحيوية الموضعية أو الفموية عند وجود التهاب لثوي أو عدوى بكتيرية نشطة.
كما يُعد تعديل العادات اليومية جزءًا أساسيًا من العلاج، مثل تحسين طريقة تفريش الأسنان، واستخدام فرشاة ناعمة وخيوط تنظيف الأسنان، والتوقف عن التدخين، لأن هذه التغييرات تساعد على تثبيت نتائج العلاج التقليدي لتراجع اللثة وتقليل فرص عودة المشكلة.
العلاج بالليزر: التقنية الحديثة لعلاج تراجع اللثة
يُعد العلاج بالليزر من أحدث التقنيات المستخدمة في علاج تراجع اللثة بشكل دقيق ولطيف مقارنة بالطرق الجراحية التقليدية. يعمل ليزر اللثة على إزالة البكتيريا والأنسجة الملتهبة حول جذور الأسنان دون إحداث نزيف أو ألم شديد، مما يساعد على تنظيف الجيوب اللثوية بعمق وتحفيز تجدد الأنسجة الداعمة.
بفضل هذه التقنية المتطورة، يمكن تقليل حساسية الأسنان، وتحسين استقرار الأسنان المعرّضة للتخلخل، مع تسريع عملية الشفاء وتقليل فترة التوقف عن الأنشطة اليومية. كما يُعد العلاج بالليزر خيارًا مناسبًا للمرضى الذين يعانون من الخوف من جراحة اللثة، لأنه يتميز بدقة عالية وتقليل الحاجة للتخدير والخياطة.
عند دمج العلاج بالليزر مع تنظيف الأسنان العميق والعناية اليومية الجيدة، يمكن السيطرة على تراجع اللثة والوقاية من مضاعفاته، مثل فقدان الأسنان والتهاب دواعم السن المزمن. هذه الميزة تجعل من الليزر خيارًا متقدمًا وفعّالًا ضمن خطط علاج تراجع اللثة وتحسين صحة الفم بشكل عام.

نصائح للوقاية من تراجع اللثة في المستقبل
للحفاظ على صحة اللثة والوقاية من تراجع اللثة مستقبلاً، يُنصح بالالتزام بروتين عناية فموية يومي يشمل تنظيف الأسنان مرتين يوميًا بفرشاة ناعمة ومعجون يحتوي على الفلورايد، مع تجنّب التفريش العنيف الذي يساهم في انحسار اللثة.
احرص على استخدام خيط الأسنان أو الفرشاة بين السنية مرة واحدة يوميًا لإزالة بقايا الطعام والبلاك من المناطق التي لا تصل إليها الفرشاة، لأن تراكم البلاك والجير من أهم أسباب تراجع اللثة والتهابها. يُفضّل زيارة طبيب الأسنان أو أخصائي اللثة كل 6 أشهر لفحص اللثة وتنظيف الجير مبكرًا قبل أن يسبب أضرارًا دائمة، خاصة إذا كنت تعاني من أمراض اللثة سابقًا أو لديك تاريخ عائلي لتراجع اللثة. الإقلاع عن التدخين خطوة أساسية؛ فالتدخين يضعف الدورة الدموية في اللثة ويزيد خطر التهاب اللثة وتراجعها.
كما ينصح بالتحكم في الأمراض المزمنة مثل السكري، واتباع نظام غذائي متوازن غني بالفيتامينات ومضادات الأكسدة (مثل فيتامين C) لدعم تجدد أنسجة اللثة وتقوية جهاز المناعة.
إذا كنت تعاني من صرير الأسنان أو الضغط عليها، فاستشر طبيب الأسنان حول استخدام واقي ليلي، لأن الضغط الزائد على الأسنان يمكن أن يسرّع من تراجع اللثة بمرور الوقت. بهذه الخطوات البسيطة والمتواصلة يمكنك تقليل خطر تراجع اللثة، والحفاظ على ابتسامة صحية ومستقرة على المدى البعيد.
خدمات الدكتورة عبير لعلاج تراجع اللثة بالليزر
تقدم الدكتورة عبير خدمات متكاملة لعلاج تراجع اللثة بالليزر اعتمادًا على أحدث البروتوكولات الطبية في طب أمراض اللثة التجميلي والعلاجي. تعتمد تقنية الليزر على تحفيز تجدد الأنسجة الداعمة للسن وتعقيم الجيوب اللثوية بدقة عالية دون جراحة تقليدية، مما يقلل نزيف اللثة ويخفف الألم والتورم ويسرّع فترة الشفاء.
تركّز الدكتورة عبير على علاج تراجع اللثة من جذوره عبر إزالة البكتيريا المسببة لالتهاب اللثة، وإعادة تشكيل حافة اللثة حول الأسنان، مع الحفاظ على أكبر قدر ممكن من الأنسجة السليمة. كما تهتم بتصحيح انحسار اللثة حول الأسنان والأضراس والزوائد السنية (مثل تيجان الأسنان والعدسات) لتحسين ثبات الأسنان والمظهر الجمالي للابتسامة.
وتشمل خدماتها وضع خطة علاجية شخصية لكل حالة بعد فحص شامل وتصوير دقيق، مع تقديم إرشادات وقائية للحفاظ على صحة اللثة ومنع عودة تراجع اللثة مستقبلاً، مما يجعل علاج تراجع اللثة بالليزر خيارًا آمنًا وفعالًا للمرضى الباحثين عن نتائج سريعة وموثوقة.

دليل المريض: الأسئلة الشائعة حول تراجع اللثة
هل يمكن علاج تراجع اللثة نهائيًا؟
يمكن علاج تراجع اللثة والسيطرة عليه بشكل كبير عند اكتشافه في المراحل المبكرة. يعتمد العلاج على إزالة السبب الرئيسي مثل البلاك والتهاب اللثة عبر تنظيف الأسنان العميق أو العلاج بالليزر. في الحالات المتقدمة قد يلجأ الطبيب إلى جراحة اللثة أو تطعيم اللثة لإعادة تغطية جذور الأسنان المكشوفة وتحسين صحة اللثة.
هل يمكن أن تعود اللثة للنمو بعد تراجعها؟
في أغلب الحالات لا تعود اللثة للنمو تلقائيًا بعد انحسارها، لكن يمكن إيقاف تطور المشكلة ومنع ازدياد التراجع من خلال العلاج المناسب والعناية الجيدة بالفم. في بعض الحالات قد تساعد الإجراءات التجميلية مثل تطعيم اللثة أو العلاج بالليزر في تحسين شكل اللثة وتغطية جزء من الجذور المكشوفة.
هل تراجع اللثة يسبب ألمًا في الأسنان؟
قد لا يسبب تراجع اللثة ألمًا في البداية، لكن مع تقدم الحالة تنكشف جذور الأسنان الحساسة، ما يؤدي إلى الشعور بألم أو حساسية عند تناول الأطعمة الباردة أو الساخنة أو الحلوة. كما قد يسبب ضغطًا أو انزعاجًا في اللثة عند المضغ أو تنظيف الأسنان.
ما الفرق بين التهاب اللثة وتراجع اللثة؟
التهاب اللثة هو حالة التهابية تصيب أنسجة اللثة نتيجة تراكم البلاك والبكتيريا، وتظهر أعراضه على شكل احمرار وتورم ونزيف. أما تراجع اللثة فهو انحسار تدريجي في أنسجة اللثة يكشف جذور الأسنان. وغالبًا ما يكون التهاب اللثة المزمن أحد الأسباب الرئيسية التي تؤدي إلى تراجع اللثة مع مرور الوقت.
هل يمكن أن يؤدي تراجع اللثة إلى فقدان الأسنان؟
نعم، إذا لم يتم علاج تراجع اللثة في الوقت المناسب فقد يؤدي إلى تلف العظم الداعم للأسنان وإضعاف ثباتها في الفك. مع تقدم الحالة قد تصبح الأسنان متحركة ثم قد تسقط في الحالات الشديدة نتيجة فقدان الدعم العظمي.
هل تنظيف الأسنان بقوة يسبب تراجع اللثة؟
نعم، تفريش الأسنان بقوة أو استخدام فرشاة أسنان قاسية يمكن أن يسبب تآكل حافة اللثة مع مرور الوقت ويؤدي إلى تراجعها. لذلك ينصح أطباء الأسنان باستخدام فرشاة ناعمة وتنظيف الأسنان بلطف وبطريقة صحيحة للحفاظ على صحة اللثة.
هل التدخين يزيد من خطر تراجع اللثة؟
يعد التدخين من أهم العوامل التي تزيد خطر الإصابة بتراجع اللثة، لأنه يضعف تدفق الدم إلى اللثة ويقلل قدرتها على مقاومة البكتيريا والالتهابات. كما يبطئ عملية الشفاء ويزيد احتمال تطور أمراض اللثة المزمنة.
ما أفضل طريقة للوقاية من تراجع اللثة؟
أفضل طريقة للوقاية من تراجع اللثة هي الحفاظ على نظافة الفم اليومية عبر تنظيف الأسنان مرتين يوميًا باستخدام فرشاة ناعمة ومعجون يحتوي على الفلورايد، مع استخدام خيط الأسنان لإزالة البلاك بين الأسنان. كما يُنصح بزيارة طبيب الأسنان بانتظام لتنظيف الجير وفحص اللثة واكتشاف أي مشكلة في مراحلها المبكرة.
هل علاج تراجع اللثة بالليزر مؤلم؟
يُعد علاج تراجع اللثة بالليزر من الإجراءات الحديثة التي تتميز بأنها أقل ألمًا مقارنة بالجراحة التقليدية. يعمل الليزر على إزالة البكتيريا والأنسجة الملتهبة بدقة عالية مع تقليل النزيف والتورم، كما يساهم في تسريع عملية الشفاء.
متى يجب زيارة الطبيب عند ملاحظة تراجع اللثة؟
ينبغي زيارة طبيب الأسنان فور ملاحظة أعراض مثل انحسار اللثة، أو حساسية الأسنان، أو نزيف اللثة أثناء تنظيف الأسنان، أو ظهور جذور الأسنان. الكشف المبكر يساعد على علاج المشكلة بسرعة ومنع تطورها إلى مضاعفات أكثر خطورة.




