الفرق بين جير الأسنان وطبقة البلاك
مينا الأسنان هي المادة الأكثر صلابة في أجسامنا وأكثر صلابة من العظام. لكن هذا لا يعني أنه يجب عليك العناية بأسنانك بشكل أقل من بقية الجسم. مشاكل الأسنان مثل البلاك والجير، إذا تُركت دون علاج، يمكن أن تلحق الضرر بأسنانك وتؤدي إلى مشاكل أكثر تعقيدًا في اللثة.
كيف أعرف أن أسناني تعاني من البلاك أو الجير؟ وما هو الفرق بين جير الأسنان وطبقة البلاك؟ كيف أعالج البلاك أو الجير؟ لمعرفة المزيد، تابع القراءة.
ما هو جير الاسنان؟

لمعرفة الفرق بين جير الأسنان وطبقة البلاك يجب معرفة ما هو جير الاسنان، حيث يؤدي تراكم البلاك غير المعالج إلى تكوين جير الاسنان، حيث إذا تركت البلاك على أسنانك لفترة طويلة جدًا، فسوف تتصلب وتتحول إلى جير ويصبح من الصعب جدًا إزالته، حيث يحبس البلاك الكالسيوم والمعادن الأخرى من اللعاب ويجعله صلبًا.
في الواقع، لا يمكن إزالة الجير إلا بواسطة أخصائي الأسنان – لا يمكنك التخلص منه بالفرشاة العادية وخيط الأسنان. إزالة الجير هي أحد الأسباب التي تجعل زيارة طبيب الأسنان كل ستة أشهر مهمة جدًا!
يمكن أن يؤدي تراكم البلاك الذي يتصلب ليشكل الجير إلى أكثر من تسوس الأسنان، فقد يتسبب في تغير لون الأسنان وحساسيتها، فضلاً عن انحسار اللثة وأمراض اللثة. لتقليل تراكم البلاك والجير، تأكد من تنظيف أسنانك بالفرشاة وخيط الأسنان يوميًا.
ما هي طبقة البلاك؟
لمعرفة الفرق بين جير الأسنان وطبقة البلاك يجب معرفة ما هي طبقة البلاك هي عبارة عن غشاء حيوي أصفر باهت طري ولزج يتطور على أسنانك عندما يتحد الطعام والسوائل واللعاب مع البكتيريا الموجودة على أسنانك والتي تنتج الأحماض وتتغذى على السكر في نظامك الغذائي، حيث تهاجم هذه الأحماض مينا الأسنان وهي الطبقة الخارجية لأسنانك والمكونة من تركيبة معدنية تحمي الأسنان.
يمكن أن يؤدي تراكم البلاك إلى تسوس الأسنان ورائحة الفم الكريهة وأمراض اللثة، كما يمكن إزالة البلاك بسرعة بالفرشاة وخيط تنظيف الأسنان بشكل صحيح ومستمر.
يجب عليك أيضًا التأكد من شرب الكثير من الماء وقد تفكر في إضافة الإلكتروليتات أيضًا. باستخدام هذه الأدوات، يمكنك منع تراكم البلاك والتسبب في مشاكل أسنان أكثر خطورة مثل التهاب اللثة وتسوس الأسنان.
ما الفرق بين جير الأسنان وطبقة البلاك؟

يرتبط كل من جير الأسنان والبلاك بصحة الفم ولكن لهما خصائص مميزة، حيث يكون الفرق بين جير الأسنان وطبقة البلاك، كما يلي:
1- طبقة البلاك:
من أهم العناصر التي توضح الفرق بين جير الأسنان وطبقة البلاك، ما يلي:
- التكوين: البلاك هو طبقة لزجة عديمة اللون تتكون على الأسنان. وتتكون في المقام الأول من البكتيريا ومنتجاتها الثانوية، إلى جانب اللعاب وبقايا الطعام.
- الموقع: تتراكم البلاك على الأسنان، وخاصة على طول خط اللثة وبين الأسنان.
- التأثيرات: إذا لم تتم إزالة البلاك من خلال التنظيف بالفرشاة والخيط بانتظام، فقد يتصلب البلاك ويتحول إلى جير. البلاك هو السبب الرئيسي وراء تسوس الأسنان وأمراض اللثة.
- المظهر: عادةً ما تكون اللويحة غير مرئية ولكنها قد تصبح مرئية عندما تتراكم وتلتقط البقع من الطعام أو المشروبات.
- طريقة الإزالة: يمكن إزالة طبقة البلاك على الأسنان عن طريق تنظيف الأسنان بالفرشاة والخيط مرتين على الأقل يوميًا، وكذلك بعد تناول الأطعمة السكرية.
2- جير الأسنان:
من أهم العناصر التي توضح الفرق بين جير الأسنان وطبقة البلاك، ما يلي:
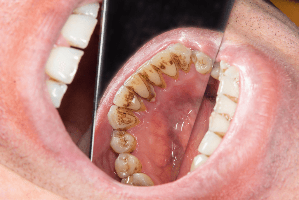
- التكوين: الجير هو طبقة صلبة من البلاك تتكلس على الأسنان بمرور الوقت بسبب محتوى المعادن في اللعاب. وهو عبارة عن رواسب خشنة ومسامية يمكن أن يختلف لونها من الأصفر إلى البني.
- الموقع: يتكون الجير عادة على طول خط اللثة وعلى أسطح الأسنان.
- التأثيرات: لا يمكن إزالة الجير بالفرشاة العادية وخيط تنظيف الأسنان. فهو يوفر سطحًا خشنًا لتراكم المزيد من البلاك، مما يؤدي إلى مشاكل الأسنان الأخرى مثل التسوس وأمراض اللثة.
- المظهر: يبدو الجير متصلبًا بشكل واضح وغالبًا ما يكون ملحوظًا على شكل رواسب صفراء أو بنية اللون على الأسنان.
- طريقة الإزالة: على عكس البلاك، يوصى بإزالة الجير بواسطة طبيب أسنان. وذلك لأن الجير يلتصق بقوة بمينا الأسنان. وفي حين أن هناك بعض الطرق لإزالة الجير في المنزل، فإن تنظيف أسنانك بواسطة طبيب أسنان يضمن أفضل نتيجة دون خطر حدوث مضاعفات في الفم.
أضرار جير الأسنان
من أضرار جير الأسنان التي توضح الفرق بين جير الأسنان وطبقة البلاك، ما يلي:
- أمراض اللثة: يمكن أن يؤدي تراكم الجير على طول خط اللثة إلى التهاب اللثة، وهي مرحلة مبكرة من أمراض اللثة تتميز باحمرار اللثة وتورمها ونزيفها. وإذا تُرِكَت دون علاج، فقد يتطور التهاب اللثة إلى التهاب دواعم السن، وهو شكل أكثر حدة من أمراض اللثة التي يمكن أن تؤدي إلى فقدان الأسنان.
- تسوس الأسنان: يوفر الجير سطحًا خشنًا لالتصاق البلاك به، مما يزيد من خطر تسوس الأسنان. تنتج البكتيريا الموجودة في البلاك أحماضًا يمكن أن تؤدي إلى تآكل مينا الأسنان، مما يؤدي إلى تسوس الأسنان.
- رائحة الفم الكريهة: يمكن أن يؤدي تراكم الجير إلى احتجاز جزيئات الطعام والبكتيريا، مما يؤدي إلى رائحة الفم الكريهة المستمرة (رائحة الفم الكريهة) والتي يصعب التخلص منها بالفرشاة العادية وغسول الفم.
- البقع: الجير مسامي ويمكنه امتصاص البقع من الأطعمة والمشروبات والتبغ. وقد يؤدي هذا إلى تغير واضح في لون الأسنان، مما يؤثر على المظهر العام للابتسامة.
- حساسية الأسنان: يمكن أن يساهم الجير في حساسية الأسنان من خلال تعريض طبقة العاج في السن لمحفزات خارجية مثل الأطعمة والمشروبات الساخنة أو الباردة أو الحلوة أو الحمضية. يمكن أن يسبب هذا عدم الراحة والألم عند تناول مواد معينة.
- صعوبة تنظيف الأسنان: بمجرد تشكل الجير، لا يمكن إزالته بالفرشاة العادية وخيط الأسنان. يلزم تنظيف الأسنان بشكل احترافي لإزالة رواسب الجير من الأسنان بشكل فعال. إن وجود الجير يجعل من الصعب الحفاظ على نظافة الفم الجيدة ويمكن أن يؤدي إلى تراكم المزيد من البلاك ومشاكل الأسنان.
أضرار طبقة البلاك
من أضرار طبقة البلاك التي توضح الفرق بين جير الأسنان وطبقة البلاك، ما يلي:
- تسوس الأسنان: البلاك هو عبارة عن طبقة لزجة من البكتيريا تتكون باستمرار على الأسنان. تتغذى البكتيريا الموجودة في البلاك على السكريات الموجودة في الطعام وتنتج أحماضًا يمكن أن تؤدي إلى تآكل مينا الأسنان، مما يؤدي إلى تكوين تجاويف.
- التهاب اللثة: يمكن أن يؤدي تراكم البلاك على طول خط اللثة إلى تهيج اللثة، مما يؤدي إلى الالتهاب والنزيف. هذه المرحلة المبكرة من مرض اللثة، والمعروفة باسم التهاب اللثة، يمكن عكسها بالعناية الفموية المناسبة. إذا تركت دون علاج، فقد تتطور إلى التهاب دواعم السن، مما قد يسبب انحسار اللثة وفقدان العظام.
- رائحة الفم الكريهة: تطلق البكتيريا الموجودة في البلاك مركبات الكبريت المتطايرة التي تساهم في ظهور رائحة الفم الكريهة. وقد يؤدي تراكم البلاك المستمر إلى ظهور رائحة الفم الكريهة المزمنة التي يصعب إخفاؤها باستخدام غسولات الفم أو النعناع.
- تكوين الجير: إذا لم تتم إزالة البلاك من خلال التنظيف بالفرشاة والخيط بانتظام، فقد يتصلب ويتحول إلى جير (جير الأسنان). يوفر الجير سطحًا خشنًا لتراكم المزيد من البلاك، مما يزيد من خطر حدوث مشاكل الأسنان.
- البقع: يمكن أن تمتص البلاك الصبغات من بعض الأطعمة والمشروبات، مما يؤدي إلى ظهور بقع مرئية على الأسنان. يمكن أن يؤثر هذا على المظهر الجمالي للابتسامة ويتطلب تنظيفًا احترافيًا لإزالته.
اعراض جير الأسنان
لمعرفة الفرق بين جير الأسنان وطبقة البلاك تعرف على اعراض جير الأسن، حيث قد لا تكون أعراض جير الأسنان ملحوظة دائمًا، وخاصة في المراحل المبكرة. ومع ذلك، مع تراكم الجير وتطور مشاكل الأسنان، قد تظهر أعراض مختلفة. فيما يلي بعض العلامات والأعراض الشائعة المرتبطة بجير الأسنان:
- الرواسب المرئية: يظهر الجير على شكل رواسب صفراء أو بنية اللون على الأسنان، وخاصة على طول خط اللثة أو بين الأسنان. وقد تسبب هذه الرواسب المتصلبة خشونة في اللسان.
- رائحة الفم الكريهة: يمكن أن تكون رائحة الفم الكريهة المستمرة علامة على تراكم الجير. تطلق البكتيريا الموجودة في الجير غازات ذات رائحة كريهة تساهم في رائحة الفم الكريهة المزمنة.
- تورم اللثة: تراكم الجير يمكن أن يسبب تهيج اللثة، مما يؤدي إلى الالتهاب والتورم.
- نزيف اللثة: قد تنزف اللثة بسهولة، وخاصة أثناء تنظيف الأسنان بالفرشاة أو خيط الأسنان. وهذا من العلامات الشائعة لالتهاب اللثة، وهي مرحلة مبكرة من أمراض اللثة.
- حساسية الأسنان: عندما يتسبب الجير في كشف طبقة العاج في الأسنان، فقد يعاني الأفراد من زيادة حساسية الأسنان للأطعمة والمشروبات الساخنة أو الباردة أو الحلوة أو الحمضية.
- عدم الراحة أو الألم: مع تقدم تراكم الجير، يمكن أن يؤدي ذلك إلى الشعور بعدم الراحة أو الألم عند تناول الطعام، وخاصة عند مضغ أو قضم بعض الأطعمة.
- انحسار اللثة: يمكن أن يساهم تراكم الجير في انحسار اللثة، حيث تنفصل اللثة عن الأسنان، مما يعرض المزيد من جذور الأسنان. يمكن أن يؤدي هذا إلى زيادة الحساسية والمخاوف الجمالية.
- تغيرات في مظهر الأسنان: يمكن أن يتسبب الجير في ظهور الأسنان متغيرة اللون أو ملطخة بسبب طبيعته المسامية وقدرته على امتصاص الصبغات من الأطعمة والمشروبات.
- صعوبة تنظيف الأسنان: مع مرور الوقت، ومع استمرار تراكم الجير، يصبح من الصعب بشكل متزايد إزالته بالفرشاة والخيط بانتظام. وقد يؤدي هذا إلى تراكم المزيد من البلاك وتفاقم مشاكل صحة الفم.
الوقاية من جير الأسنان
لمنع تراكم الجير، يجب عليك إزالة البلاك من أسنانك عن طريق تنظيفها بالفرشاة وخيط الأسنان بانتظام. يمكن أن تساعدك نصائح صحة الفم التالية في إزالة البلاك ومنع تراكمه:
- اغسل أسنانك مرتين على الأقل يوميًا. يجب عليك غسل أسنانك لمدة دقيقتين على الأقل في كل مرة، ويجب أن تفكر في استخدام معجون أسنان يحتوي على الفلورايد. يساعد الفلورايد في إعادة بناء مينا الأسنان بعد تآكلها بسبب البلاك.
- استخدم فرشاة أسنان كهربائية – قد تكون فرشاة الأسنان الكهربائية أكثر فعالية في إزالة البلاك من فرشاة الأسنان اليدوية بسبب السرعة التي تتحرك بها.
- استخدم خيط تنظيف الأسنان مرة واحدة على الأقل يوميًا – سيساعدك هذا على تنظيف أي مناطق قد تكون فرشاة أسنانك قد فاتتها.
- حاول الحد من كمية الأطعمة السكرية التي تتناولها – حيث تعمل السكريات والكربوهيدرات على زيادة معدل تراكم البلاك، لذا إذا كنت تتناولها، فيجب عليك تنظيف أسنانك بالفرشاة وخيط الأسنان بعد ذلك. إن تناول نظام غذائي صحي غني بالكالسيوم والبروتين والفواكه والخضروات سيساعد في منع تراكم البلاك.
- احصل على فحوصات أسنان منتظمة – يجب أن تهدف إلى الحصول على واحدة كل 6 أشهر حتى يتمكن طبيب الأسنان من التحقق من وجود تسوسات ومنحك تنظيفًا احترافيًا.
- الإقلاع عن التدخين – التدخين يجعلك أكثر عرضة لتراكم البلاك والجير بالإضافة إلى أمراض اللثة وسرطان الفم.
أهم النصائح بعد تنظيف الاسنان من الجير

بعد تنظيف الأسنان لإزالة الجير، من المهم اتباع هذه النصائح المهمة للحفاظ على صحة الفم ومنع تراكم الجير:
- قم بتنظيف أسنانك باستخدام معجون أسنان يحتوي على الفلورايد مرتين على الأقل يوميًا لإزالة البلاك ومنع تكوّن الجير.
- استخدم خيط الأسنان يوميًا لتنظيف ما بين الأسنان حيث لا تستطيع شعيرات فرشاة الأسنان الوصول إليها، مما يساعد على منع تراكم البلاك.
- تجنب تناول الأطعمة السكرية والنشوية التي يمكن أن تساهم في تكوين البلاك وتسوس الأسنان.
- أدخل الكثير من الفواكه والخضروات الطازجة في نظامك الغذائي للحصول على العناصر الغذائية الأساسية التي تدعم صحة الفم.
- اغسل أسنانك بغسول فم مضاد للميكروبات للمساعدة في تقليل البلاك والبكتيريا في الفم، وتعزيز صحة الفم بشكل عام.
- اشرب الماء طوال اليوم، وخاصة بعد تناول الوجبات، للمساعدة في شطف جزيئات الطعام والبكتيريا التي يمكن أن تؤدي إلى تراكم البلاك.
- قم بجدولة فحوصات الأسنان والتنظيفات الدورية لمراقبة صحة الفم، واكتشاف أي علامات مبكرة لتراكم الجير أو مشاكل الأسنان الأخرى، وتلقي عمليات التنظيف الاحترافية حسب الحاجة.
إزالة جير الأسنان والبلاك في جدة
تتخصص الدكتورة عبير في إزالة جير الأسنان والبلاك في جدة. تساعد خدماتها في منع مشاكل الأسنان الخطيرة مثل التسوس وأمراض اللثة.
تركز الدكتورة عبير على راحة المريض وتقدم نصائح واضحة حول الحفاظ على نظافة الفم الجيدة في المنزل. إذا كنت تتطلع إلى تحسين صحة أسنانك، فحدد موعدًا لزيارة الدكتورة عبير لإزالة الجير والبلاك بشكل احترافي.





