التهاب اللثة المزمن

ما هو التهاب اللثة المزمن؟ الأسباب والأعراض وطرق العلاج الحديثة

ما هو التهاب اللثة المزمن؟

التهاب اللثة المزمن هو حالة التهابية طويلة الأمد تصيب أنسجة اللثة المحيطة بالأسنان، وتحدث غالبًا نتيجة تراكم البلاك والجير والبكتيريا على سطح الأسنان وتحت خط اللثة.

 يتميز هذا النوع من التهابات اللثة باستمرار الاحمرار والتورم ونزيف اللثة عند التفريش أو استخدام الخيط، دون علاج فعّال في الوقت المناسب.

 ومع مرور الوقت، يمكن أن يتحول التهاب اللثة المزمن إلى التهاب دواعم السن، وهو مرحلة أكثر خطورة قد تؤدي إلى تراجع اللثة، وتحرك الأسنان، وفي الحالات الشديدة إلى فقدان الأسنان. 

يتأثر حدوث التهاب اللثة المزمن بعوامل عدة مثل إهمال نظافة الفم، التدخين، السكري، التغيرات الهرمونية، وضعف المناعة. 

وتشكل المتابعة الدورية لدى طبيب الأسنان، مع تنظيف الأسنان الاحترافي والعناية اليومية بالفرشاة والخيط وغسول الفم، أساس الوقاية من التهاب اللثة المزمن وتقليل مضاعفاته على صحة الفم والأسنان.

التهاب اللثة المزمن

الأسباب الرئيسية لالتهابات اللثة المزمنة

تحدث التهابات اللثة المزمنة عادةً نتيجة تراكم طبقة البلاك والجير حول الأسنان بسبب إهمال تنظيف الأسنان اليومي، مما يسمح للبكتيريا بالتمدد إلى اللثة والتسبب في التهاب مستمر. 

كما تلعب العادات غير الصحية مثل التدخين دورًا رئيسيًا في ضعف الدورة الدموية باللثة وتقليل قدرتها على مقاومة العدوى، مما يزيد من خطر التهاب اللثة المزمن. 

وتُعد الأمراض المزمنة مثل السكري وأمراض القلب وضعف المناعة من العوامل المهمة التي تضعف استجابة الجسم الدفاعية وتُسرّع تطور التهابات اللثة. 

كذلك يمكن أن يؤدي سوء التغذية ونقص الفيتامينات، خاصة فيتامين C، إلى إضعاف أنسجة اللثة وجعلها أكثر عرضة للنزيف والالتهاب المزمن.

 ولا يجب إهمال تأثير العوامل الهرمونية لدى النساء أثناء الحمل أو سن البلوغ أو انقطاع الطمث، حيث تزيد التغيرات الهرمونية من حساسية اللثة والتهابها.

 كما قد تسهم حشوات وتركيبات الأسنان السيئة، والضغط الزائد على الأسنان نتيجة صرير الأسنان، في تهيج اللثة واستمرار الالتهاب لفترات طويلة. 

كل هذه الأسباب مجتمعة تجعل من الضروري الاهتمام بنظافة الفم وزيارة طبيب الأسنان بانتظام للوقاية من التهابات اللثة المزمنة وعلاجها في مراحلها المبكرة.

تواصل معنا

الأعراض الشائعة التي تدل على التهاب اللثة

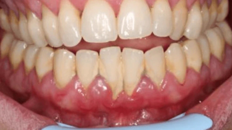
يشكو المصابون بالتهابات اللثة المزمنة عادةً من مجموعة من الأعراض المتكررة التي تدل على وجود التهاب يحتاج إلى علاج مبكر. من أبرز هذه الأعراض احمرار اللثة وتورمها، حيث تبدو اللثة أغمق من لونها الطبيعي وأكثر انتفاخًا، مع شعور بعدم الراحة عند لمسها. 

نزيف اللثة عند تفريش الأسنان أو استخدام الخيط الطبي يُعد من العلامات الشائعة لالتهاب اللثة، خاصة إذا تكرر بشكل يومي.

 كما يعاني الكثير من رائحة الفم الكريهة المستمرة رغم العناية بنظافة الفم، وهو أحد أهم الأعراض المرتبطة بالتهابات اللثة المزمنة. 

قد يشعر المريض أيضًا بألم بسيط أو إحساس بالنبض في اللثة، مع حكة أو انزعاج عند تناول الأطعمة الساخنة أو الباردة. 

وفي الحالات المتقدمة قد تُلاحظ تغيّرات في شكل اللثة مثل تراجعها عن الأسنان أو ظهور فراغات بين الأسنان واللثة، ما يزيد من تراكم البلاك والجير ويُسرّع من تطوّر التهاب اللثة إلى أمراض لثوية أكثر خطورة.

 ظهور هذه الأعراض يستدعي استشارة طبيب الأسنان فورًا لتجنب مضاعفات التهاب اللثة المزمن على صحة الأسنان وصحة الجسم بشكل عام.

مضاعفات إهمال التهاب اللثة على صحة الفم والجسم

إهمال علاج التهاب اللثة المزمن لا يؤثر فقط على صحة الفم والأسنان، بل قد يمتد تأثيره إلى صحة الجسم بالكامل. فعندما تستمر التهابات اللثة دون تدخل، يمكن أن تتطور إلى التهاب دواعم السن، مما يسبب تراجع اللثة، وتكوّن جيوب لثوية عميقة، وفقدان العظم الداعم للأسنان، وبالتالي تحرك الأسنان أو سقوطها في المراحل المتقدمة. 

كما أن البكتيريا والالتهابات المزمنة في اللثة قد تنتقل إلى مجرى الدم، ما يزيد من خطر الإصابة بأمراض القلب والشرايين، وارتفاع ضغط الدم، واضطراب مستويات السكر لدى مرضى السكري. 

وترتبط التهابات اللثة المزمنة أيضًا بزيادة احتمال الولادة المبكرة وانخفاض وزن المولود لدى الحوامل، بالإضافة إلى تأثر الجهاز المناعي وزيادة القابلية للعدوى. 

لذلك فإن الاهتمام بعلاج التهاب اللثة مبكرًا والعناية اليومية بصحة الفم لا يحمي الأسنان فقط، بل يعد جزءًا أساسيًا من الوقاية من العديد من الأمراض المزمنة في الجسم.

التهاب اللثة المزمن واحمرار اللثة حول الأسنان

طرق العلاج التقليدية لالتهابات اللثة

تعتمد طرق العلاج التقليدية لالتهابات اللثة المزمنة على مجموعة من الإجراءات الطبية التي تهدف إلى إزالة البكتيريا المسببة للالتهاب وإيقاف تدهور أنسجة اللثة.

 في البداية يقوم طبيب الأسنان بعمل تنظيف عميق للأسنان واللثة (Scaling & Root Planing) لإزالة الجير والترسبات الصلبة المتراكمة تحت خط اللثة، وهو السبب الرئيسي في التهاب اللثة المزمن.

 قد يصف الطبيب مضادات حيوية موضعية أو أقراص لعلاج التهاب اللثة وتقليل نمو البكتيريا داخل الجيوب اللثوية، إضافة إلى غسول فم مطهر يحتوي على مادة الكلورهكسيدين للمساعدة في تعقيم الفم وتقليل النزيف ورائحة الفم الكريهة. 

في الحالات المتقدمة من أمراض اللثة قد يتطلب الأمر إجراء تدخل جراحي بسيط لتقليل عمق الجيوب اللثوية، وإعادة تشكيل اللثة والعظم الداعم للأسنان، مما يساعد على تثبيت الأسنان والحد من تراجع اللثة. 

ويُعد الالتزام بالعناية اليومية بالأسنان، مثل تفريش الأسنان مرتين يوميًا واستعمال الخيط أو الفرشاة بين الأسنان، جزءًا أساسيًا من نجاح العلاج التقليدي والحفاظ على صحة اللثة على المدى الطويل.

أحدث طرق العلاج بالليزر وكيف تعمل

يُعد العلاج بالليزر من أحدث التقنيات الفعّالة في علاج التهابات اللثة المزمنة، حيث يعتمد على أشعة ضوئية مركزة تستهدف البكتيريا والأنسجة الملتهبة بدقة عالية دون الإضرار بالأنسجة السليمة. 

يعمل ليزر اللثة على إزالة الجيوب اللثوية وتنظيف جذور الأسنان، مع تقليل النزيف والألم مقارنة بالجراحة التقليدية.

 كما يساعد الليزر في تعقيم المنطقة المصابة، وتحفيز تجدد الأنسجة وارتباط اللثة بالسن من جديد، مما يساهم في السيطرة على التهاب اللثة المزمن وتحسين ثبات الأسنان على المدى الطويل. 

وتتميز أحدث طرق علاج التهاب اللثة بالليزر بسرعة الجلسات، وتقليل الحاجة للمسكنات، ونتائج تجميلية أفضل، ما يجعلها خيارًا متقدمًا وآمنًا لعلاج أمراض اللثة وتحسين صحة الفم العامة.

علاج التهاب اللثة بالليزر في عيادة الأسنان

نصائح للوقاية من تكرار التهابات اللثة

للوقاية من تكرار التهابات اللثة المزمنة يُنصح بالالتزام بتنظيف الأسنان مرتين يوميًا على الأقل باستخدام فرشاة ناعمة ومعجون يحتوي على الفلورايد مع الحرص على تنظيف خط اللثة برفق لإزالة البلاك قبل تحوله إلى جير مؤذٍ. 

استخدام خيط الأسنان أو الفرش بين السنية يوميًا يساعد في تنظيف المناطق التي لا تصل إليها الفرشاة، مما يقلل من تراكم البكتيريا المسببة لالتهاب اللثة. 

يفضل استخدام غسول فم مطهر يوصي به طبيب الأسنان، خاصة في حالات التهابات اللثة المتكررة، لأنه يساهم في تقليل عدد البكتيريا وتحسين رائحة الفم. 

الإقلاع عن التدخين عامل أساسي في الوقاية من التهاب اللثة المزمن؛ فالتدخين يضعف مناعة اللثة ويقلل من قدرتها على الالتئام، كما يزيد من خطر فقدان الأسنان. 

الحرص على نظام غذائي متوازن غني بفيتامين C وفيتامين D والكالسيوم يدعم صحة اللثة والعظام المحيطة بالأسنان، مع تقليل السكريات والوجبات الخفيفة المتكررة التي تغذي بكتيريا الفم. 

كما يُنصح بزيارة طبيب الأسنان بانتظام (كل 6 أشهر أو حسب التوصية) لإجراء فحص شامل وتنظيف احترافي لإزالة الجير العميق وعلاج أي التهاب في بدايته قبل أن يتحول إلى التهاب لثة مزمن متكرر.

قد يهمك: قص اللثة: دليلك الشامل لفهم الأسباب، الفوائد، والتقنيات الحديثة

علاج التهابات اللثة المزمنة في جدة مع الدكتورة عبير

تقدّم الدكتورة عبير في جدة خطة علاج متكاملة للتهابات اللثة المزمنة تعتمد على التشخيص الدقيق للحالة باستخدام الفحص السريري والتصوير الإشعاعي وتحليل تاريخ المريض الطبي.

يشمل علاج التهاب اللثة المزمن تنظيفًا عميقًا للثة وجذور الأسنان (Scaling & Root Planing) لإزالة الجير واللويحة البكتيرية تحت خط اللثة، مع استخدام مضادات حيوية موضعية أو فموية عند الحاجة للسيطرة على العدوى البكتيرية.
في الحالات المتقدمة من أمراض اللثة قد تلجأ الدكتورة عبير إلى إجراءات جراحية بسيطة لإعادة تشكيل اللثة والعظم الداعم للأسنان، مع التركيز على الحفاظ على الأسنان الطبيعية قدر الإمكان.

كما تهتم بوضع برنامج وقائي شخصي لكل مريض يشمل تعليم طرق التفريش الصحيحة، واستخدام الخيط وغسول الفم الطبي، والمتابعة الدورية، مما يساعد على السيطرة على التهاب اللثة المزمن وتقليل فرص عودته والحفاظ على ابتسامة صحية وجذابة على المدى الطويل.

احجز موعدك

دليل المريض: أسئلة شائعة حول التهاب اللثة المزمن

ما الفرق بين التهاب اللثة والتهاب دواعم السن؟

التهاب اللثة هو المرحلة الأولى من أمراض اللثة ويتميز باحمرار وتورم اللثة ونزيفها، بينما التهاب دواعم السن هو مرحلة متقدمة يحدث فيها تراجع اللثة وتلف العظم الداعم للأسنان، وقد يؤدي إلى تحرك الأسنان أو فقدانها.

هل يمكن علاج التهاب اللثة المزمن نهائياً؟

نعم، يمكن السيطرة على التهاب اللثة المزمن وعلاجه بشكل فعال عند اكتشافه مبكرًا من خلال تنظيف الأسنان العميق وإزالة الجير والبكتيريا، مع الالتزام بالعناية اليومية بالأسنان والمتابعة الدورية مع طبيب الأسنان.

هل التهاب اللثة يسبب رائحة فم كريهة؟

نعم، تعتبر رائحة الفم الكريهة من الأعراض الشائعة لالتهاب اللثة المزمن، حيث تنتج عن تراكم البكتيريا والالتهابات داخل اللثة وبين الأسنان.

كم يستغرق علاج التهاب اللثة؟

يعتمد ذلك على شدة الحالة، ففي الحالات البسيطة قد تتحسن اللثة خلال أسابيع قليلة بعد تنظيف الأسنان العميق، بينما قد تحتاج الحالات المتقدمة إلى جلسات علاج إضافية أو علاج بالليزر.

هل علاج اللثة بالليزر مؤلم؟

يعد علاج اللثة بالليزر من الطرق الحديثة والآمنة، وغالبًا ما يكون أقل ألمًا من الجراحة التقليدية، كما يتميز بتقليل النزيف وسرعة التعافي.

هل يمكن أن يؤدي التهاب اللثة إلى فقدان الأسنان؟

إذا تُرك التهاب اللثة دون علاج لفترة طويلة فقد يتطور إلى التهاب دواعم السن، مما يؤدي إلى تآكل العظم المحيط بالأسنان وتحركها أو سقوطها.

هل يؤثر التهاب اللثة على صحة الجسم؟

نعم، تشير الدراسات إلى وجود ارتباط بين التهابات اللثة المزمنة وبعض الأمراض مثل أمراض القلب والسكري ومضاعفات الحمل.

Scroll to Top