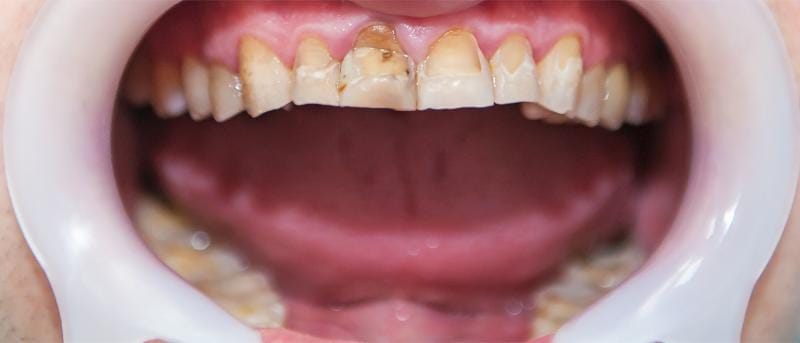
الأسباب الرئيسية لضعف الأسنان

نقص الكالسيوم وفيتامين د وتأثيره المباشر على بنية الأسنان
يُعد نقص الكالسيوم وفيتامين د من الأسباب الرئيسية لضعف الأسنان، لأنهما عنصران أساسيان في تكوين العظام والمينا منذ مرحلة الطفولة وحتى البلوغ. عند انخفاض مستواهما في الجسم، تصبح طبقة المينا أرق وأقل صلابة، مما يزيد من فرص تسوس الأسنان وحدوث الكسور والشروخ مع أقل ضغط. كما يؤدي نقص فيتامين د إلى ضعف امتصاص الكالسيوم من الغذاء، وبالتالي تفاقم مشكلة هشاشة الأسنان والعظام الداعمة لها. لذلك يُنصح بالحرص على تناول مصادر الكالسيوم وفيتامين د أو المكملات عند الحاجة، خاصة لمن يعانون من هشاشة العظام أو اضطرابات في الامتصاص.
تآكل مينا الأسنان بسبب الأطعمة والمشروبات الحمضية
تناول الأطعمة والمشروبات الحمضية بشكل متكرر مثل المشروبات الغازية، عصائر الحمضيات، ومشروبات الطاقة يُعتبر من الأسباب المباشرة لضعف الأسنان. الأحماض تذيب طبقة المينا تدريجيًا، فتُفقد الأسنان حصنها الأول أمام البكتيريا والعوامل المسببة للتسوس. مع الوقت، يشعر الشخص بحساسية مزعجة عند تناول الأطعمة الباردة أو الساخنة، وقد تظهر تصبغات وتشقق في السطح الخارجي. التقليل من تكرار تناول هذه المشروبات، واستخدام الشفاطة، وعدم تفريش الأسنان مباشرة بعد شربها يساعد في حماية المينا والحد من تآكلها.
التسوس الناتج عن الإفراط في السكريات والكربوهيدرات
يُعد الإفراط في تناول السكريات والكربوهيدرات اللزجة مثل الحلوى، البسكويت، والخبز الأبيض من أهم أسباب ضعف الأسنان. تتغذى البكتيريا الفموية على هذه السكريات وتحوّلها إلى أحماض تهاجم طبقة المينا وتبدأ عملية التسوس. ومع غياب العناية الفموية الجيدة، يتعمق التسوس ليصل إلى العاج وعصب السن، مما يسبب ألمًا شديدًا وضعفًا في بنية السن قد ينتهي بتكسّره أو فقدانه. تنظيم استهلاك السكريات، وتفريش الأسنان بعد الوجبات، واستخدام معجون يحتوي على الفلورايد يقلل بشكل كبير من خطر التسوس وضعف الأسنان.
التنظيف الخاطئ للأسنان (القوة الزائدة أو الفرشاة القاسية)
سلوكيات التنظيف الخاطئ تعد من الأسباب الشائعة لضعف الأسنان رغم أن الهدف منها هو العناية. استخدام فرشاة قاسية أو الضغط بقوة كبيرة أثناء التفريش يمكن أن يؤدي إلى تآكل المينا وانحسار اللثة مع مرور الوقت. هذا التآكل يكشف الطبقات الداخلية الأكثر ليونة وحساسية، فيزداد الألم عند تناول الأطعمة والمشروبات ويصبح السن أكثر عرضة للتسوس والكسور. ينصح أطباء الأسنان باستخدام فرشاة ناعمة وتقنية تفريش لطيفة بحركات دائرية، مع تجنب الحركة الأفقية العنيفة التي تؤذي المينا واللثة.
صك الأسنان (Bruxism) وتأثيره على تآكل الطبقة الخارجية
صك الأسنان أو طحنها اللا إراديًا، خاصة أثناء النوم، يُعد من الأسباب المهمة لضعف الأسنان وتآكلها التدريجي. يؤدي الضغط الشديد والمتكرر إلى تآكل المينا، وظهور أسطح مسطحة ومشققة، وقد يصل التلف إلى طبقة العاج. مع الوقت، يزداد خطر حساسية الأسنان والآلام في مفصل الفك والصداع، كما يمكن أن تتعرض الأسنان للكسور الدقيقة. استخدام واقي ليلي (night guard) يصفه طبيب الأسنان، مع معالجة أسباب التوتر والقلق، يساعد في حماية الأسنان والمحافظة على قوتها.
جفاف الفم ونقص إفراز اللعاب ودوره في ضعف الحماية الطبيعية
اللعاب يمثل خط الدفاع الطبيعي الأول ضد التسوس وضعف الأسنان، إذ يساعد على معادلة الأحماض وغسل بقايا الطعام. عندما يحدث جفاف الفم ونقص في إفراز اللعاب، تزداد فرصة تراكم البكتيريا والأحماض على سطح الأسنان، ما يسرّع من تآكل المينا والتسوس. يعاني مرضى السكري، وبعض كبار السن، ومن يتناولون أدوية معينة من جفاف الفم المزمن، ما يجعلهم أكثر عرضة لضعف الأسنان ومشاكل اللثة. شرب كميات كافية من الماء، ومضغ علكة خالية من السكر، واستشارة طبيب الأسنان حول بدائل اللعاب الصناعية من الوسائل الفعالة للتقليل من تأثير جفاف الفم.
تأثير بعض الأدوية على مينا الأسنان واللعاب

بعض الأدوية قد تساهم بشكل غير مباشر في ضعف الأسنان، إما بتقليل إفراز اللعاب أو بالتأثير على المينا نفسها. تشمل هذه الأدوية بعض مضادات الاكتئاب، أدوية الضغط، مضادات الهستامين، وبعض أدوية السرطان التي قد تسبب جفاف الفم الشديد وتغيّر بيئة الفم. كما أن استخدام شراب الأدوية المحلاة بالسكر لفترات طويلة لدى الأطفال قد يزيد من خطر التسوس إذا لم تُنظف الأسنان جيدًا بعد تناولها. من المهم مناقشة الآثار الجانبية للأدوية مع الطبيب، والاهتمام بالعناية الفموية الإضافية عند استخدام أدوية قد تؤثر على اللعاب أو مينا الأسنان.
الأمراض المزمنة مثل السكري واضطرابات الامتصاص
الأمراض المزمنة تُعد من الأسباب العامة لضعف الأسنان، لأنها تؤثر على تغذية الجسم ودفاعاته المناعية. مرض السكري غير المتحكم فيه يزيد من التهابات اللثة، ويضعف الدورة الدموية في اللثة والعظم الداعم، ما ينعكس على ثبات الأسنان وقوتها. كما أن اضطرابات الامتصاص في الأمعاء مثل الداء البطني (السيلياك) أو أمراض الأمعاء الالتهابية قد تؤدي إلى نقص الكالسيوم والفيتامينات الضرورية لتكوين المينا والعظام. ضبط الأمراض المزمنة، واتباع نظام غذائي متوازن، والمتابعة المنتظمة مع طبيب الأسنان يقلل من تأثير هذه الحالات على قوة الأسنان.
العوامل الوراثية وضعف تكوين المينا منذ الطفولة
تلعب العوامل الوراثية دورًا مهمًا في صحة الأسنان وقوتها، وقد يكون ضعف المينا نتيجة خلل وراثي في تكوينها منذ الطفولة. في هذه الحالات، تكون طبقة المينا رقيقة أو غير مكتملة، مما يجعل الأسنان أشد حساسية وأكثر عرضة للتسوس والتآكل حتى مع العناية الجيدة. قد يظهر هذا الضعف على شكل اصفرار مبكر، أو بقع بيضاء وبنية، أو تآكل سريع للأسنان اللبنية والدائمة. يحتاج الأطفال المعرضون وراثيًا لضعف المينا إلى متابعة مبكرة مع طبيب الأسنان، واستخدام وسائل وقائية مثل الفلورايد والطلاءات الواقية لحماية الأسنان قدر الإمكان.
التقدم في العمر وفقدان السمك الطبيعي للمينا
التقدم في العمر يُعتبر عاملًا طبيعيًا من عوامل ضعف الأسنان، حيث تتآكل طبقة المينا تدريجيًا مع سنوات الاستخدام. مع مرور الوقت، قد تصبح الأسنان أقصر، وأكثر اصفرارًا نتيجة انكشاف طبقة العاج الأعمق، كما تزداد الحساسية للتغيرات الحرارية. يساهم أيضًا تراجع اللثة وفقدان بعض الأسنان في زيادة الضغط على الأسنان المتبقية، ما يعجّل بضعفها إذا لم تُعالج المشكلة. العناية الفموية المستمرة، وزيارات طبيب الأسنان الدورية، واستخدام معجون مخصص لحساسية الأسنان تساعد كبار السن في الحفاظ على قوة الأسنان لأطول فترة ممكنة.
إصابات الأسنان والصدمات التي تؤثر على بنيتها
الصدمات المباشرة على الفم، مثل السقوط أو الحوادث أو إصابات الملاعب، قد تؤدي إلى كسر الأسنان أو تشققها بشكل يضعف بنيتها على المدى البعيد. حتى الشروخ البسيطة غير الملحوظة يمكن أن تتطور مع الوقت، وتسمح بدخول البكتيريا والرطوبة إلى داخل السن، مما يسبب التسوس والالتهابات. كما قد تؤثر الصدمة على جذر السن أو العظم المحيط، فتُضعف ثبات السن وتزيد احتمال فقدانه مستقبلًا. لذلك يجب مراجعة طبيب الأسنان فور التعرض لأي إصابة في الأسنان أو الفكين، لتقييم الضرر ووضع خطة علاجية تحافظ على قوة السن.
مشاكل العضّة وسوء توزيع الضغط على الأسنان
سوء الإطباق أو مشاكل العضة (مثل العضة المفتوحة أو العميقة أو المعكوسة) يؤدي إلى توزيع غير متساوٍ للضغط على الأسنان. هذا الضغط غير المتوازن يسبب تآكلًا موضعيًا في بعض الأسنان، وتشققات في المينا، وألمًا في العضلات ومفصل الفك. مع مرور الوقت، تضعف الأسنان الأكثر تعرضًا للضغط، وقد تتآكل حوافها أو تنكسر بسهولة. تقويم الأسنان وتصحيح العضة يساعدان في إعادة توزيع القوى بشكل طبيعي، مما يحمي الأسنان من الضعف المبكر ويحسن وظيفة المضغ والمظهر الجمالي.
فقدان الأسنان الخلفية وتأثيره على توازن الفم
فقدان الأسنان الخلفية دون تعويضها من الأسباب المهمة غير المباشرة لضعف الأسنان المتبقية. فعند غياب الطواحن، ينتقل الضغط إلى الأسنان الأمامية التي لم تُصمم لتحمل هذا الحمل الكبير، ما يؤدي إلى تآكلها وتحركها وتراجع اللثة حولها. كما قد تميل الأسنان المجاورة إلى الفراغات، وتتحرك الأسنان المقابلة للأسفل أو الأعلى، مما يخل بتوازن العضة ويزيد من التآكل والضغط غير الطبيعي. تعويض الأسنان المفقودة بزراعة أو جسور أو أطقم متحركة يحافظ على توازن الفم ويقلل من ضعف الأسنان الأخرى.
التدخين وتأثيره على اللثة ودعم الأسنان

التدخين من العوامل القوية التي تُسرّع ضعف الأسنان عبر تأثيره الضار على اللثة والعظم الداعم. فهو يقلل من تدفق الدم إلى اللثة، ويضعف الاستجابة المناعية، مما يزيد من خطر التهابات اللثة المزمنة وفقدان العظم حول الأسنان. ومع الوقت، تتراجع اللثة، وتظهر جذور الأسنان، وتصبح الأسنان أكثر حركة وضعفًا وقد تُفقد حتى دون وجود تسوس شديد. الإقلاع عن التدخين، إلى جانب العناية الفموية الدقيقة، يحسن صحة اللثة بشكل ملحوظ ويقلل من خطر فقدان الأسنان وضعفها.
الإهمال في العناية اليومية وتراكم البلاك والجير
إهمال تنظيف الأسنان بالفرشاة والخيط بانتظام يسمح بتجمع طبقة البلاك (اللويحة الجرثومية) على السطوح السنية. مع مرور الوقت، يتصلب البلاك ويتحول إلى جير يصعب إزالته بالفرشاة، ويشكل بيئة مثالية لنمو البكتيريا المسببة للتسوس والتهابات اللثة. هذا التراكم المستمر يؤدي إلى تآكل المينا، وظهور التجاويف التسوسية، وضعف الأربطة التي تثبت الأسنان في مكانها. التفريش مرتين يوميًا، واستخدام خيط الأسنان، وزيارة طبيب الأسنان لتنظيف الجير كل 6 أشهر من أهم الخطوات لحماية الأسنان من الضعف المبكر.
هل يمكن أن يجتمع أكثر من سبب في نفس الوقت؟
نعم، في كثير من الحالات يكون ضعف الأسنان نتيجة اجتماع أكثر من سبب في الوقت نفسه، وليس سببًا واحدًا فقط، وهو ما يفسر تدهور الحالة بسرعة لدى بعض الأشخاص. قد يعاني الشخص مثلًا من نقص الكالسيوم وفيتامين D مع سوء التغذية، وفي الوقت نفسه إهمال تنظيف الأسنان وتراكم الجير، إضافة إلى الإفراط في تناول السكريات أو المشروبات الغازية التي تضعف مينا الأسنان وتزيد من خطر التسوس. كما أن بعض الأمراض المزمنة مثل السكري أو اضطرابات الغدة الدرقية، مع استخدام أدوية معينة تسبب جفاف الفم، قد تتداخل مع عوامل أخرى مثل التدخين أو الضغط العصبي وسوء العادات الفموية كفتح الأشياء بالأسنان أو صرير الأسنان الليلي. اجتماع هذه الأسباب يؤدي إلى تآكل طبقة المينا، وزيادة حساسية الأسنان، وسهولة تكسرها، وحدوث التهابات في اللثة، لذلك من الضروري عند البحث عن أسباب ضعف الأسنان عدم الاكتفاء بسبب واحد، بل تقييم نمط الحياة، والتاريخ المرضي، والعادات الغذائية والفموية بشكل شامل للوصول إلى خطة علاج فعّالة والوقاية من تدهور الحالة.
كيف تحدد السبب الحقيقي لضعف أسنانك؟
لتحديد السبب الحقيقي لضعف الأسنان لا يكفي ملاحظة تكسر الأسنان أو حساسيتها فقط، بل يجب ربط الأعراض بنمط حياتك وفحص دقيق لدى طبيب الأسنان. يبدأ الطبيب بأخذ تاريخ مرضي شامل حول عاداتك الغذائية (الإكثار من السكريات أو المشروبات الغازية)، ونظافة الفم، والتدخين، واستخدام الأدوية المزمنة أو الإصابة بأمراض مثل السكري أو هشاشة العظام، لأنها من أشهر أسباب ضعف الأسنان وتآكل طبقة المينا. ثم يجري فحصًا سريريًا للتحقق من وجود تسوس عميق، تآكل مينا الأسنان بسبب الحموضة أو طحن الأسنان الليلي، التهابات اللثة، انحسار اللثة وتعري الجذور، أو كسر في البنية الداخلية للسن. غالبًا ما تُستخدم الأشعة السينية لتقييم كثافة العظام المحيطة بالأسنان واكتشاف الالتهابات أو التلف غير الظاهر بالعين المجردة، ما يساعد على تحديد السبب الجذري بدقة. بهذه الخطوات يمكنك مع طبيبك معرفة هل يعود ضعف الأسنان لنقص الكالسيوم وفيتامين D، أو لأمراض اللثة، أو للعادات الخاطئة، وبالتالي وضع خطة علاج وقائية فعّالة تمنع تفاقم المشكلة وتحافظ على قوة أسنانك على المدى الطويل.
متى يصبح ضعف الأسنان مؤشر خطر؟
يصبح ضعف الأسنان مؤشر خطر حقيقي عندما تلاحظ تسوسًا متكررًا رغم العناية اليومية، أو تشققًا وتآكلًا واضحًا في مينا الأسنان، أو ألمًا عند تناول الأطعمة الباردة أو الساخنة، أو تحرك الأسنان من مكانها دون سبب واضح، فهنا قد لا يكون السبب مجرد إهمال في تنظيف الأسنان بل قد يرتبط بأمراض عامة مثل السكري، هشاشة العظام، نقص الكالسيوم وفيتامين D، أو مشكلات في الغدد الصماء.في هذه الحالة يجب عدم الاكتفاء بالعلاجات المنزلية أو مسكنات الألم، بل زيارة طبيب الأسنان فورًا لإجراء فحص شامل وتحديد سبب ضعف الأسنان بدقة.كما أن رائحة الفم الكريهة المستمرة، نزيف اللثة المتكرر، أو تراجع اللثة عن الأسنان قد تشير إلى التهابات لثوية متقدمة تهدد ثبات الأسنان على المدى البعيد.كلما كان التدخل مبكرًا في حالات ضعف الأسنان، زادت فرص إنقاذ الأسنان الطبيعيّة وتجنّب العلاجات المعقّدة مثل حشوات العصب أو زراعة الأسنان، لذلك يُنصح بعدم تجاهل أي علامة غير طبيعية في قوة الأسنان أو شكلها أو حساسيتها.
تواصل مع عيادة د. أمير غياث الزهراوي لتشخيص سبب ضعف أسنانك

إذا كنت تعاني من ضعف الأسنان أو تكسر متكرر أو حساسية مزعجة عند تناول الأطعمة الباردة أو الحارة، فإن خطوة التواصل مع عيادة د. أمير غياث الزهراوي تُعد الخيار الطبي الأمثل لتشخيص سبب ضعف الأسنان بدقة وعلاج جذور المشكلة قبل تفاقمها.في العيادة يتم فحص الأسنان واللثة سريريًا وباستخدام الأشعة لتحديد ما إذا كان ضعف الأسنان ناتجًا عن تسوس عميق، أو تآكل المينا، أو نقص الكالسيوم والفيتامينات، أو جفاف الفم، أو عادات يومية خاطئة مثل الضغط على الأسنان أو الإفراط في تناول السكريات والمشروبات الغازية.يساعدك د. أمير غياث الزهراوي بخبرته في طب الأسنان التجميلي والعلاجي على وضع خطة علاج شخصية لتعزيز قوة الأسنان، سواء عبر حشوات تجميلية، أو علاجات الفلورايد، أو ترميم الأسنان الضعيفة بالتيجان، مع إرشادات وقائية وعادات غذائية صحية تحافظ على صلابة الأسنان على المدى الطويل.تواصلك المبكر مع عيادة د. أمير غياث الزهراوي لا يساعد فقط في معرفة أسباب ضعف الأسنان، بل يحميك أيضًا من مضاعفات مستقبلية مثل الالتهاب، والخلع المبكر، وفقدان الأسنان، مما يضمن لك ابتسامة قوية وصحية تدوم.
دليل المريض | أسئلة شائعة حول أسباب ضعف الأسنان
ما هي أبرز أسباب ضعف الأسنان بشكل شائع؟
تشمل أسباب ضعف الأسنان نقص الكالسيوم وفيتامين د، تآكل مينا الأسنان بسبب الأطعمة الحمضية، التسوس الناتج عن السكريات، صك الأسنان، وجفاف الفم. وغالبًا ما يكون السبب مزيجًا من عدة عوامل وليس عاملًا واحدًا فقط.
هل نقص الكالسيوم وحده يسبب ضعف الأسنان؟
نقص الكالسيوم عامل مهم، لكنه ليس السبب الوحيد. ضعف الأسنان غالبًا ينتج عن تداخل عوامل مثل التغذية، العادات اليومية، وصحة اللثة، لذلك لا يمكن ربط المشكلة بالكالسيوم فقط.
ما الفرق بين ضعف الأسنان وتآكل المينا؟
ضعف الأسنان مصطلح عام يشمل عدة مشاكل، بينما تآكل المينا هو أحد الأسباب الرئيسية لضعف الأسنان، ويحدث نتيجة الأحماض أو الاحتكاك المستمر.
هل يمكن أن يكون ضعف الأسنان وراثيًا؟
نعم، بعض الأشخاص لديهم مينا أسنان أضعف بطبيعتها بسبب عوامل وراثية، مما يجعلهم أكثر عرضة للتآكل والتسوس مقارنة بغيرهم.
هل تؤثر العادات اليومية على قوة الأسنان؟
بشكل كبير، مثل:
- تنظيف الأسنان بطريقة خاطئة
- الإفراط في السكريات
- شرب المشروبات الغازية
- صك الأسنان أثناء النوم
كلها تؤدي إلى إضعاف الأسنان مع الوقت.
هل التقدم في العمر يسبب ضعف الأسنان؟
نعم، مع التقدم في العمر يقل سمك مينا الأسنان تدريجيًا، مما يجعلها أكثر عرضة للتآكل والحساسية.
هل جفاف الفم يؤثر على صحة الأسنان؟
نعم، اللعاب يلعب دورًا مهمًا في حماية الأسنان، وعند نقصه تزيد فرص التسوس وتآكل المينا، مما يؤدي إلى ضعف الأسنان.
هل يمكن أن يكون ضعف الأسنان علامة على مرض عام؟
في بعض الحالات نعم، مثل:
- مرض السكري
- اضطرابات امتصاص المعادن
- نقص الفيتامينات
لذلك من المهم عدم إهمال التشخيص.
متى يجب القلق من ضعف الأسنان؟
يجب مراجعة الطبيب إذا ظهرت:
- حساسية شديدة
- ألم مستمر
- تآكل واضح في الأسنان
- تشققات أو تغير لون مفاجئ
هل يمكن منع ضعف الأسنان قبل حدوثه؟
نعم، من خلال:
- التغذية المتوازنة
- العناية اليومية الصحيحة
- الفحص الدوري عند طبيب الأسنان
وهذا يساعد على اكتشاف الأسباب مبكرًا قبل تطورها.




