ما هي مراحل تسوس الأسنان؟ ولماذا يختلف العلاج حسب كل مرحلة؟

المرحلة الأولى — البقع البيضاء (بداية تسوس الأسنان)
ماذا تعني البقع البيضاء على الأسنان؟
البقع البيضاء على الأسنان هي أول علامة مرئية على بداية تسوس الأسنان في مرحلته الأولى، حيث يبدأ مينا الأسنان بفقدان المعادن دون حدوث تجويف أو ثقب بعد. تظهر هذه البقع غالبًا بالقرب من خط اللثة أو بين الأسنان، وتكون أفتح من لون السن الطبيعي، وتدل على ما يسمى بـ “إزالة التمعدن”.
في هذه المرحلة من تسوس الأسنان يكون الضرر سطحيًا وقابلًا للعلاج إذا تم التدخل مبكرًا، لذلك يُعد ملاحظة البقع البيضاء أمرًا مهمًا للكشف المبكر عن التسوس قبل أن يتطور لمراحل أعمق وأصعب في العلاج. غالبًا ما ترتبط هذه البقع بسوء تنظيف الأسنان، أو كثرة تناول السكريات، أو جفاف الفم، أو استخدام تقويم الأسنان دون عناية فموية كافية.
هل يمكن عكس هذه المرحلة بدون حفر؟
نعم، في المرحلة الأولى — البقع البيضاء (بداية تسوس الأسنان) يمكن عكس التسوس في كثير من الحالات بدون حفر أو حشوات إذا تم اكتشافه مبكرًا والتزم المريض بالعلاج الوقائي. في هذه المرحلة لا يكون قد تكوّن ثقب في السن بعد، بل مجرد فقدان للمعادن من طبقة المينا، وهو ما يسمح بإعادة تقوية المينا عن طريق الفلورايد وتحسين العناية الفموية.
يساعد تنظيف الأسنان بالفرشاة ومعجون يحتوي على الفلورايد مرتين يوميًا، واستخدام خيط الأسنان وتقليل السكريات بين الوجبات، في وقف تقدم التسوس بل وحتى إعادة تمعدن المنطقة المتأثرة. كلما كان التدخل في بداية ظهور البقع البيضاء، زادت فرصة استرجاع صحة مينا الأسنان وتجنب مراحل تسوس الأسنان المتقدمة التي تتطلب الحفر والحشو.
أفضل طرق العلاج المبكر (فلورايد + تحسين العناية)
تعتمد أفضل طرق علاج المرحلة الأولى — البقع البيضاء (بداية تسوس الأسنان) على مبدأين أساسيين: إعادة تمعدن المينا بالفلورايد، وتحسين العناية اليومية بالأسنان.
يساعد استخدام معجون أسنان يحتوي على نسبة مناسبة من الفلورايد، وغسول فموي فلوريدي يوصي به طبيب الأسنان، في تقوية سطح المينا وإعادة المعادن إلى المناطق التي بدأت فيها البقع البيضاء بالظهور.
قد يوصي طبيب الأسنان أيضًا بتطبيق الفلورايد الموضعي عالي التركيز في العيادة، أو استخدام مواد خاصة لإعادة التمعدن مثل المستحضرات المحتوية على الكالسيوم والفوسفات. أما تحسين العناية فيشمل تنظيف الأسنان مرتين يوميًا على الأقل، واستخدام خيط الأسنان أو الفرش بينية لتنظيف الفراغات، وتقليل تناول السكريات والمشروبات الغازية، خاصة بين الوجبات وقبل النوم.
الالتزام بهذه الإجراءات في المرحلة الأولى من تسوس الأسنان يساعد بشكل كبير في إيقاف التسوس مبكرًا ويحافظ على الأسنان سليمة دون الحاجة لتدخلات علاجية معقدة لاحقًا.
المرحلة الثانية — تسوس طبقة المينا السطحية بما يخدم نية البحث
كيف يتحول التسوس من بقع إلى ثقوب؟
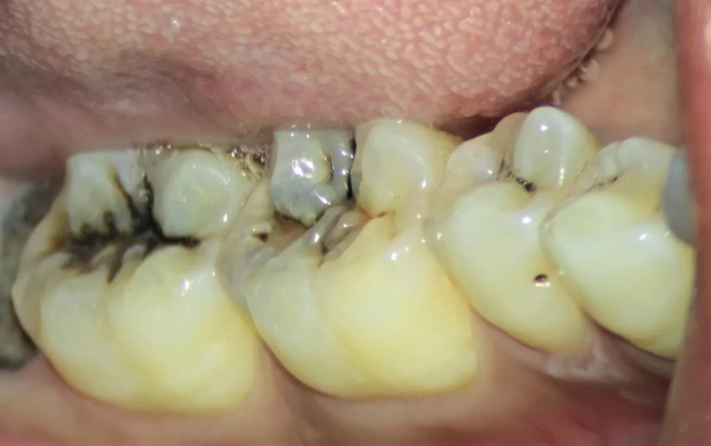
في المرحلة الثانية من تسوس الأسنان، ينتقل التسوس من مجرد بقع بيضاء طباشيرية على سطح المينا إلى بداية تكوّن ثقوب صغيرة في السن.
تبدأ الأحماض الناتجة عن البكتيريا الموجودة في البلاك بمهاجمة طبقة المينا السطحية بشكل مستمر، مما يؤدي إلى فقدان المعادن (إزالة التمعدن) من هذه الطبقة الصلبة.
مع استمرار تراكم البلاك وعدم تنظيف الأسنان جيدًا، تصبح المينا أضعف وأكثر مسامية، فتتحول البقع البيضاء أو البنية إلى حفر دقيقة غير منتظمة على سطح السن.
في هذه المرحلة من تسوس طبقة المينا السطحية، قد لا تكون الثقوب عميقة بعد، لكنها تشكل بداية تجوّف السن، وتمهد لانتقال التسوس إلى العاج في المراحل المتقدمة إذا لم يتم علاجها مبكرًا.
هنا يكون التدخل السريع لدى طبيب الأسنان مهمًا لوقف تطور التسوس ومنع تحوّل هذه الثقوب الصغيرة إلى نخر عميق ومؤلم.
هل الألم يظهر في هذه المرحلة؟
في مرحلة تسوس طبقة المينا السطحية غالبًا لا يشعر المريض بألم واضح، لأن المينا طبقة صلبة غير حساسة ولا تحتوي على أعصاب.
قد يلاحظ بعض الأشخاص حساسية خفيفة جدًا عند تناول الأطعمة الباردة أو الحلوة، لكنها عادةً ما تكون غير مزعجة ولا تدفع المريض مباشرة لزيارة طبيب الأسنان.
هذه المشكلة تجعل تسوس الأسنان في المرحلة الثانية خطيرًا بشكل غير مباشر، لأنه يستمر في التطور بصمت دون أعراض قوية، إلى أن يصل إلى طبقة العاج الأكثر حساسية ويتسبب في ألم واضح.
لذلك يعد الفحص الدوري للأسنان والتصوير بالأشعة البسيطة من أفضل الطرق لاكتشاف تسوس المينا السطحي قبل ظهور الألم، وعلاج التسوس في مراحله الأولى بأقل تدخل ممكن.
علاج التسوس البسيط بالحشوات التجميلية
في المرحلة الثانية — تسوس طبقة المينا السطحية — يكون التسوس عادةً بسيطًا ومحدودًا في المينا، ما يجعل الحشوات التجميلية (الكومبوزيت) خيارًا مثاليًا للعلاج.
يقوم طبيب الأسنان أولًا بإزالة الجزء المتسوس من طبقة المينا السطحية بلطف، مع المحافظة قدر الإمكان على بنية السن السليمة.
بعد ذلك تُحضّر الحفرة الصغيرة، ثم تُملأ بمادة حشو تجميلية بلون مماثل للون السن الطبيعي، لتعيد للسن شكله ووظيفته وتحميه من امتداد التسوس إلى العاج.
تتميز الحشوات التجميلية بأنها ثابتة، جمالية، وتلتصق جيدًا بالمينا، مما يجعلها علاجًا فعالًا لتسوس المينا السطحي في هذه المرحلة المبكرة.
هذا النوع من العلاج السريع يحافظ على أكبر قدر من بنية السن الطبيعية، ويمنع تطور التسوس إلى مراحل أعمق وأكثر تعقيدًا تحتاج إلى علاجات أطول وتكاليف أعلى.
المرحلة الثالثة — وصول التسوس إلى طبقة العاج
لماذا تصبح الأسنان حساسة فجأة؟
عندما يصل تسوس الأسنان إلى طبقة العاج في المرحلة الثالثة، تبدأ الألياف العصبية الدقيقة داخل العاج بالتعرض للمنبهات الخارجية بشكل مباشر، فيشعر الشخص بحساسية مفاجئة في الأسنان.
العاج يحتوي على أنابيب مجهرية مفتوحة تتصل بالعصب الداخلي، ومع تآكل المينا بفعل التسوس تصبح هذه الأنابيب مكشوفة للهواء، والمشروبات الباردة أو الساخنة، وحتى الأطعمة السكرية أو الحمضية.
لذلك، إذا لاحظت أن أسنانك أصبحت حساسة فجأة عند الأكل أو الشرب، فقد يعني هذا أن التسوس لم يعد سطحيًا في طبقة المينا فقط، بل وصل إلى طبقة العاج وبدأ يقترب من عصب السن.
في هذه المرحلة، تجاهل الألم أو الحساسية قد يسمح للتسوس بالتقدم إلى مراحل أعمق، مثل التهاب العصب أو خراج الأسنان، لذا يُنصح بمراجعة طبيب الأسنان فورًا لتشخيص تسوس العاج وعلاجه قبل الوصول للمراحل المتقدمة.
الفرق بين تسوس المينا والعاج
في المراحل الأولى من تسوس الأسنان يقتصر الضرر على طبقة المينا، وهي الطبقة الخارجية الصلبة التي تحمي السن.
تسوس المينا غالبًا ما يتطور ببطء، وقد لا يسبب ألمًا واضحًا أو حساسية ملحوظة، مما يجعل اكتشافه المبكر يحتاج إلى فحص دوري عند طبيب الأسنان.
أما في المرحلة الثالثة، عندما يصل التسوس إلى طبقة العاج، يصبح الوضع أكثر خطورة.
العاج أضعف من المينا وأكثر مسامية، لذلك ينتشر فيه التسوس بسرعة أكبر، كما أنه قريب من عصب السن، مما يؤدي إلى ألم واضح وحساسية عند تناول الأطعمة والمشروبات.
إذن، الفرق الجوهري بين تسوس المينا وتسوس العاج هو درجة الاختراق وظهور الأعراض؛ فبينما قد يمر تسوس المينا بلا أعراض، فإن وصول التسوس إلى طبقة العاج غالبًا ما يكون نقطة التحول التي يشعر عندها المريض بالألم والحساسية، وهي علامة تنبيه تستدعي علاجًا فوريًا لحماية عصب السن ومنع الحاجة لعلاج عصب لاحقًا.
خيارات العلاج (حشوات متقدمة + حماية السن)

علاج تسوس الأسنان في المرحلة الثالثة — مرحلة وصول التسوس إلى طبقة العاج — يعتمد على إزالة الجزء المتسوس من العاج وتعويضه بحشوة متقدمة تحافظ على قوة السن وشكله الجمالي.
يستخدم طبيب الأسنان في العادة حشوات تجميلية بلون السن (الكومبوزيت) أو حشوات أخرى متطورة، بعد تنظيف التجويف المتسوس وتعقيمه جيدًا لضمان عدم بقاء بكتيريا داخل السن.
في بعض الحالات، خاصة عند فقدان جزء كبير من بنية السن، قد يُنصح بتركيب طبقة حماية إضافية مثل العدسات التجميلية، أو التلبيسات (الكراون)، للمساعدة في توزيع قوى المضغ ومنع تكسر السن الضعيف.
كما يمكن استخدام مواد خاصة لإغلاق الأنابيب الموجودة في طبقة العاج لتقليل حساسية الأسنان وحماية العصب من المؤثرات الحرارية والكيماوية.
الالتزام بخطة العلاج الموصى بها في هذه المرحلة يساعد على إيقاف تقدم التسوس، والحفاظ على السن الطبيعي لأطول فترة ممكنة، وتجنب الوصول للمرحلة الرابعة التي قد تتطلب علاج عصب أو خلع السن بالكامل.
المرحلة الرابعة — التهاب عصب السن (لب السن)
أعراض وصول التسوس للعصب (ألم شديد، نبض، حرارة)
عند وصول التسوس إلى عصب السن في المرحلة الرابعة من تسوس الأسنان، يبدأ المريض بالشعور بألم حاد ومفاجئ قد يوقظه من النوم.
يصف كثير من المرضى الألم بأنه نابض أو «يدق» داخل السن، خاصة عند الاستلقاء أو بعد تناول الطعام.
يزداد الألم عند تناول المشروبات أو الأطعمة الساخنة والباردة، وقد يستمر لعدة دقائق حتى بعد زوال المؤثر، ما يشير إلى التهاب عصب السن (لب السن) وليس مجرد حساسية بسيطة.
في بعض الحالات، ينتشر الألم إلى الفك أو الأذن أو الرأس، فيصعب على المريض تحديد السن المصاب بدقة.
هذه الأعراض تعد علامة واضحة على أن تسوس الأسنان وصل إلى العصب ويتطلب تدخلًا علاجيًا سريعًا لتجنب تطور الالتهاب إلى خراج أو فقدان السن.
متى تحتاج إلى علاج عصب؟
تحتاج إلى علاج عصب السن عندما يصل تسوس الأسنان إلى لب السن ويحدث التهاب في العصب لا يمكن عكسه.
من أهم العلامات التي تستدعي حشو العصب: ألم شديد مستمر أو متكرر، ألم نابض يزداد ليلًا، استمرار الألم بعد تناول شيء ساخن أو بارد، أو ظهور ورم بسيط في اللثة بجانب السن.
أيضًا، إذا ظهر خراج أو صديد حول جذور السن، أو كان هناك كسر عميق كشف العصب، فإن علاج العصب يصبح ضروريًا للحفاظ على السن ومنع انتشار العدوى للعظم المحيط.
في هذه المرحلة المتقدمة من مراحل تسوس الأسنان لا يكفي الحشو العادي؛ لأن العصب أصبح ملتهبًا أو ميتًا، ويجب تنظيف القنوات الجذرية وحشوها بشكل كامل لدى طبيب الأسنان المختص.
هل يمكن إنقاذ السن بدون سحب العصب؟
في بداية التهاب عصب السن، وقبل أن يصبح الالتهاب غير قابل للعكس، قد يحاول طبيب الأسنان إنقاذ العصب من خلال إزالة التسوس العميق ووضع حشوات واقية أو ضمادة طبية على العصب، خاصة في حالات التسوس القريب من العصب عند المرضى صغار السن.
لكن عندما يدخل التسوس في المرحلة الرابعة ويحدث التهاب حاد في لب السن مع ألم شديد مستمر أو خراج، يصبح إنقاذ السن بدون سحب العصب أمرًا صعبًا أو غير ممكن طبيًا.
في هذه الحالة يكون علاج العصب هو الخيار الأفضل للحفاظ على السن في الفم مع إزالة العصب الملتهب وتنظيف القنوات الجذرية ثم إغلاقها بإحكام.
التأخر في علاج التسوس حتى يصل للعصب يقلل كثيرًا من فرص إنقاذ السن بدون سحب العصب، لذلك يعتبر الاكتشاف المبكر والعلاج في المراحل الأولى من تسوس الأسنان هو أفضل وسيلة لتجنب حشو العصب مستقبلًا.
المرحلة الخامسة — الخراج وفقدان السن
ما هو خراج الأسنان ولماذا هو خطير؟
في المرحلة الخامسة من تسوس الأسنان يصل التسوس إلى عصب السن وجذر السن، فيتجمع القيح داخل أو حول جذور السن فيما يُعرف بـ خراج الأسنان.
خراج الأسنان هو جيب من الصديد ناتج عن عدوى بكتيرية عميقة داخل السن أو في اللثة المحيطة بالسن.
هذه المرحلة تعني أن التسوس لم يعد سطحيًا، بل امتد إلى الأنسجة العميقة، وقد يسبب ألمًا شديدًا، وتورمًا، واحتمال فقدان السن بالكامل إذا لم يُعالج بسرعة.
خطورة خراج الأسنان لا تتوقف عند فقدان السن فقط، بل إن البكتيريا قد تنتشر من الفم إلى الفك، والجيوب الأنفية، وحتى إلى الدم، مما قد يسبب التهابًا عامًا خطيرًا يهدد الصحة.
لذلك يُعتبر الخراج أخطر مرحلة من مراحل تسوس الأسنان، ويحتاج إلى تدخل طبي فوري لتفادي المضاعفات وحماية باقي الأسنان واللثة.
أعراض تحتاج تدخل فوري
عند وصول التسوس إلى مرحلة الخراج وفقدان السن تظهر مجموعة من الأعراض التي لا يجب إهمالها أبدًا، لأنها تشير إلى عدوى خطيرة داخل الفم.
من أهم هذه الأعراض: ألم نابض أو مستمر في السن أو الفك يزداد أثناء المضغ أو عند لمس السن.
قد تلاحظ تورمًا في اللثة أو الخد بالقرب من السن المصاب، مع إحساس بانتفاخ أو “كرة” مؤلمة في اللثة.
من العلامات المميزة أيضًا ظهور طعم سيئ في الفم أو خروج صديد من اللثة أو حول السن، مع رائحة فم كريهة مستمرة.
في الحالات المتقدمة قد ترتفع درجة الحرارة (الحمى)، ويشعر المريض بتعب عام وصعوبة في البلع أو فتح الفم بالكامل.
ظهور هذه الأعراض في سياق تسوس الأسنان المتقدم يعني غالبًا الوصول إلى المرحلة الخامسة — الخراج وفقدان السن، وهنا يجب مراجعة طبيب الأسنان فورًا لتجنب فقدان السن وانتشار العدوى.
خيارات العلاج (تصريف + مضاد + خلع أو زراعة)
علاج خراج الأسنان في المرحلة الخامسة يهدف إلى إزالة الصديد، والسيطرة على العدوى، وإنقاذ السن قدر الإمكان.
الخطوة الأولى عادة هي تصريف الخراج؛ حيث يقوم طبيب الأسنان بفتح مسار بسيط لتصريف القيح، مما يخفف الألم والضغط في المنطقة.
بعد ذلك يتم وصف مضاد حيوي مناسب لعلاج العدوى البكتيرية ومنع انتشارها إلى الفك أو الدم، مع مسكنات للألم عند الحاجة.
إذا كان السن قابلًا للإنقاذ، قد يُجرى علاج عصب (سحب العصب) وتنظيف جذور السن ثم حشوها وتغطية السن بتاج لحمايته.
أما إذا كان السن متهدمًا تمامًا أو العدوى شديدة، فقد يكون خلع السن هو الخيار الأكثر أمانًا لمنع استمرار الالتهاب.
في حال خلع السن، يمكن التفكير في تعويض السن المفقود عن طريق زراعة الأسنان أو جسر ثابت للحفاظ على شكل الابتسامة ووظيفة المضغ ومنع تحرك الأسنان المجاورة.
اختيار الخطة العلاجية يعتمد على مرحلة التسوس، وحجم الخراج، وحالة العظم المحيط بالسن، لذلك من المهم عدم تأجيل زيارة الطبيب عند ظهور أي علامة من علامات خراج الأسنان.
كيف تعرف في أي مرحلة من التسوس أنت؟

يمكنك التعرف على مرحلة تسوس الأسنان من خلال ملاحظة مجموعة من العلامات المبكرة والمتقدمة التي تشير إلى مدى تطور التسوس في الضرس أو السن. في المراحل الأولى من تسوس الأسنان قد تلاحظ ظهور بقع بيضاء أو بنية فاتحة على سطح السن دون الشعور بألم واضح، وهنا يكون التسوس سطحيًا ومحدودًا في طبقة المينا. مع تقدم التسوس إلى طبقة العاج تحت المينا يبدأ الشعور بحساسية الأسنان عند تناول الأطعمة أو المشروبات الباردة أو الساخنة أو الحلوة، وقد يظهر ألم بسيط ومتقطع. إذا تجاهلت هذه الأعراض ووصل التسوس إلى عصب السن (اللب) يصبح الألم أشد، نابضًا ومستمرًا خاصة ليلًا، مع احتمال ظهور رائحة فم كريهة أو طعم غير مستحب. في المراحل المتقدمة جدًا من تسوس الأسنان قد يتكون خراج أو تورم في اللثة بجوار السن المصاب، مع ألم قوي عند المضغ أو الضغط على السن. تحديد المرحلة بدقة يحتاج إلى فحص سريري وأشعة سينية عند طبيب الأسنان، لكن ملاحظة هذه الأعراض تساعدك في معرفة ما إذا كان التسوس في بدايته ويمكن علاجه بحشو بسيط، أم في مرحلة متقدمة تستدعي علاج العصب أو إجراءات أكثر تعقيدًا. لذلك إذا لاحظت أي تغير في لون السن، أو حساسية مفاجئة، أو ألم متكرر، فهذه مؤشرات واضحة على أنك في إحدى مراحل تسوس الأسنان وتحتاج لمراجعة الطبيب قبل أن تتفاقم المشكلة.
علاج تسوس الأسنان حسب المرحلة (دليل سريع)
المرحلة الأعراض العلاج
البقع البيضاء بدون ألم فلورايد + وقاية
المينا ألم خفيف حشوة بسيطة
العاج حساسية واضحة حشوة متقدمة
العصب ألم شديد علاج عصب
الخراج تورم + ألم قوي تدخل عاجل
لماذا يزداد تسوس الأسنان بسرعة عند بعض الأشخاص؟
يلاحظ كثيرون أن تسوس الأسنان يتطور لديهم بسرعة أكبر من غيرهم، ويرتبط ذلك بعدة عوامل متداخلة تؤثر في مراحل تسوس الأسنان من بدايته حتى وصوله للعصب. يلعب تركيب اللعاب وجودته دورًا مهمًا، فقلة إفراز اللعاب أو تغيّر حموضته تقلل قدرته على معادلة الأحماض وحماية مينا الأسنان، ما يسرّع تكوّن التسوس. كما أن العادات الغذائية الغنية بالسكريات والكربوهيدرات المكررة، وتكرار تناول الوجبات الخفيفة والمشروبات الغازية والعصائر المحلاة على مدار اليوم، توفر بيئة مثالية لنمو البكتيريا وإنتاج الأحماض التي تهاجم طبقة المينا باستمرار. إضافة إلى ذلك، يؤدي إهمال تنظيف الأسنان بالفرشاة والخيط واستخدام الفلورايد إلى تراكم البلاك والجير، مما يسرّع انتقال التسوس من المينا إلى العاج ثم إلى العصب. بعض العوامل الوراثية وشكل الأسنان (خاصة الحفر العميقة في الأضراس) تجعل تنظيفها أصعب وتزيد قابلية التسوس. كما تساهم بعض الأمراض المزمنة مثل السكري، واستخدام أدوية معينة تسبب جفاف الفم، في زيادة خطر وسرعة تطور تسوس الأسنان. لهذا تختلف سرعة تسوس الأسنان من شخص لآخر حسب نمط حياته، رعايته للفم والأسنان، حالته الصحية العامة، وطبيعة أسنانه، ما يجعل المتابعة الدورية مع طبيب الأسنان ضرورية لاكتشاف التسوس في مراحله المبكرة قبل أن يتطور بسرعة إلى مراحل متقدمة مؤلمة.
مضاعفات إهمال علاج تسوس الأسنان
إهمال علاج تسوس الأسنان في مراحله الأولى يحوّل المشكلة من ثقب بسيط يمكن إصلاحه بسهولة إلى مضاعفات خطيرة قد تهدد صحة الفم والجسم بالكامل.فعندما لا يُعالج التسوس، يتعمق تدريجيًا ليصل إلى طبقة العاج ثم إلى عصب السن، مما يسبب ألمًا شديدًا وحساسية مزمنة عند تناول الأطعمة والمشروبات الباردة أو الساخنة.ومع استمرار التسوس دون علاج، يمكن أن يتكوّن خُراج في اللثة أو جذر السن، وهو تجمع صديدي مؤلم قد يؤدي إلى تورم الوجه وصعوبة في المضغ والتحدث، وفي الحالات الشديدة قد تنتقل العدوى إلى عظام الفك أو مجرى الدم.كما أن إهمال علاج تسوس الأسنان قد ينتهي بفقدان السن بالكامل، ما يستدعي علاجات أكثر تعقيدًا وتكلفة مثل زراعة الأسنان أو الجسور لتعويض الفراغات.ولا تقتصر مضاعفات تسوس الأسنان غير المعالج على الفم فقط، فقد أشارت دراسات طبية إلى ارتباط التهابات الفم المزمنة بزيادة خطر أمراض القلب والسكري ومشكلات الحمل.لذلك فإن علاج التسوس في مراحله الأولى والمتابعة الدورية مع طبيب الأسنان ليس فقط لحماية ابتسامتك، بل للحفاظ على صحتك العامة وتجنب مضاعفات قد يكون التعامل معها أصعب بكثير من حشو بسيط في الوقت المناسب.
نصائح خاصة للأطفال لمنع تسوس الأسنان المبكر
لمنع تسوس الأسنان المبكر عند الأطفال وحمايتهم من تطور مراحل تسوس الأسنان من البقع البيضاء السطحية إلى التسوس العميق، يجب التركيز على مجموعة من العادات اليومية البسيطة والفعّالة. احرصي على تنظيف أسنان الطفل مرتين يوميًا بمعجون أسنان يحتوي على الفلورايد بكمية مناسبة للعمر، مع استخدام فرشاة ناعمة وتحريكها بلطف على جميع أسطح الأسنان واللثة. تجنبي زجاجة الحليب أو العصير قبل النوم مباشرة، لأن بقاء السكريات على الأسنان طوال الليل يُعد من أهم أسباب تسوس الأسنان المبكر عند الأطفال، ويفضَّل استبدالها بالماء. قللي من تناول الحلويات، البسكويت، العصائر المحلاة والمشروبات الغازية، مع تقديمها فقط بعد الوجبات الرئيسية وتنظيف الأسنان بعدها أو على الأقل شطف الفم بالماء. شجعي طفلك على شرب الماء بانتظام للحفاظ على رطوبة الفم وتحفيز إفراز اللعاب الذي يساعد طبيعيًا في تنظيف الأسنان ومنع التسوس. من المهم كذلك زيارة طبيب الأسنان للأطفال كل 6 أشهر للكشف المبكر عن أي مراحل أولية من تسوس الأسنان وعلاجها قبل أن تتطور إلى آلام أو خراجات. ويمكن لطبيب الأسنان استخدام تطبيق الفلورايد الموضعي أو الحشوات الوقائية (السيلانت) على الأضراس الدائمة الناشئة لحمايتها من التسوّس. بهذه الخطوات البسيطة يمكن تقليل خطر التسوس المبكر عند الأطفال بشكل كبير ودعم نمو أسنان صحية وقوية على المدى الطويل.
لماذا تختار الدكتورة عبير لعلاج تسوس الأسنان في جدة؟

بخبرة عميقة في تشخيص وعلاج مراحل تسوس الأسنان باختلاف درجاته، تُعد الدكتورة عبير من أفضل خيارات علاج تسوس الأسنان في جدة لمن يبحث عن رعاية متخصصة ونتائج طويلة الأمد. تعتمد الدكتورة عبير على أحدث تقنيات علاج تسوس الأسنان، بدءًا من الاكتشاف المبكر لمرحلة تسوس الأسنان الأولية وحتى علاج التسوس العميق وترميم الأسنان بحشوات تجميلية عالية الجودة تحافظ على شكل ووظيفة السن. كما تهتم بشرح مراحل تسوس الأسنان للمريض خطوة بخطوة، وتوضيح خطة العلاج الأنسب لحالته، مما يساعد المراجع على فهم وضعه الصحي واتخاذ قرار علاجي واعٍ. في عيادة الدكتورة عبير في جدة يتم التركيز على علاج تسوس الأسنان دون ألم قدر الإمكان، مع الاهتمام الكبير بالتعقيم ومعايير السلامة وجودة المواد المستخدمة في الحشوات والعلاجات. إلى جانب ذلك، تولي الدكتورة عبير أهمية خاصة لبرامج الوقاية من تسوس الأسنان وتعليم المريض كيفية العناية اليومية بالأسنان لتجنب تطور التسوس مستقبلاً، مما يجعل زيارتها خيارًا مثاليًا لكل من يهتم بصحة أسنانه على المدى الطويل في جدة.
دليل المريض | أسئلة شائعة حول مراحل تسوس الأسنان
H3: هل يمكن عكس تسوس الأسنان في مراحله الأولى؟
نعم، في مرحلة البقع البيضاء يمكن إيقاف التسوس وعكسه باستخدام الفلورايد والعناية الجيدة.
H3: هل كل تسوس يحتاج حشوة؟
لا، يعتمد ذلك على المرحلة. المراحل المبكرة لا تحتاج حشوات.
H3: هل علاج العصب مؤلم؟
بالتقنيات الحديثة، يتم العلاج تحت التخدير ويكون الألم محدودًا.
H3: كم يستغرق علاج التسوس؟
من جلسة واحدة للحشوات البسيطة إلى عدة جلسات لعلاج العصب.
H3: هل يمكن أن يعود التسوس بعد العلاج؟
نعم، إذا لم يتم الالتزام بالنظافة والعادات الصحية.




