تراجع اللثة

Gum Recession: Causes, Symptoms, Treatment and Prevention

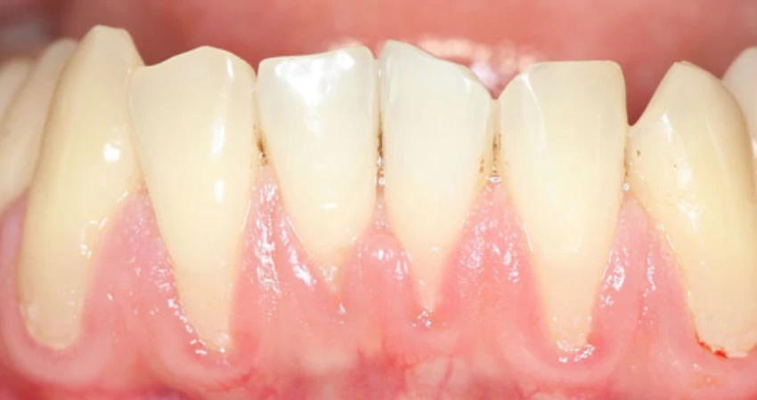
What is gum recession and how does it occur?

Gum recession is a condition in which the gum tissue surrounding the teeth gradually pulls away toward the tooth roots, exposing part of the root surface and making the teeth appear longer than normal.

This happens when the supporting gum tissue becomes weakened, often due to chronic periodontal (gum) inflammation, the buildup of dental plaque and calculus (tartar), brushing the teeth too aggressively, or using a hard-bristled toothbrush.

Other contributing risk factors include genetic predisposition, malocclusion (improper bite), smoking, dry mouth, and poor oral hygiene practices.

As the condition progresses, gum recession is often accompanied by uncomfortable tooth sensitivity, especially when consuming hot or cold foods and drinks. The exposed roots also become more prone to dental caries, and in the long term, untreated gum recession can lead to tooth loss.

Recognizing what gum recession is and how it develops makes it easier to detect in its early stages and to start an effective treatment plan that helps preserve both oral health and the appearance of your smile.

Gum Recession

Main Causes of Gum Recession

Gum recession usually occurs as a result of several factors that affect the health of the gums and the jawbone supporting the teeth.
The most significant causes are gingivitis and chronic periodontal disease, where bacteria accumulating on the tooth surface and in periodontal pockets gradually destroy the supporting tissues and expose the tooth roots.

Brushing too aggressively or using a hard-bristled toothbrush can also wear away the gum margin over time, especially around canines and molars, leading to gum recession.

Genetics play an important role as well; some people are simply more prone to gum recession even if they maintain good oral hygiene.

In addition, malocclusion (improper bite) or nighttime bruxism (teeth grinding) can place excessive pressure on the gums and bone, accelerating their breakdown and recession.

Smoking is another major factor, as it reduces blood flow to the gums and impairs their ability to regenerate and fight inflammation.

Hormonal changes, poorly controlled diabetes, and neglecting oral hygiene—such as leaving tartar (calculus) and dental plaque on the teeth for long periods—can further increase the risk of gum recession and worsen its manifestations.

All of these factors highlight the importance of prevention and regular dental check‑ups to maintain healthy gums and reduce the risk of gum recession.

Chronic Gingivitis

Symptoms to Watch For

Early recognition of gum recession symptoms is essential to prevent the condition from worsening and causing permanent damage to the teeth and supporting tissues.

You may first notice that the gum line has receded, exposing more of the tooth surface or even part of the root, making the teeth appear longer than usual.

A very common symptom is tooth sensitivity when consuming cold, hot, or sweet foods and drinks. This happens because the roots of the teeth become exposed as the gums recede.

Other signs can include redness or swelling of the gums, bleeding while brushing or flossing, and the appearance of spaces or pocket‑like gaps between the teeth where food debris and bacteria can accumulate.

In some cases, you may experience persistent bad breath or an unpleasant taste in the mouth, which are indications of gum inflammation and the buildup of dental plaque and calculus (tartar).

You might also notice slight tooth mobility or changes in how your teeth fit together when you bite, which are more advanced signs of gum recession and loss of the supporting bone.

If you observe any of these symptoms suggestive of gum recession, you should promptly consult a dentist or periodontist to determine the underlying cause and start an early treatment plan that helps preserve the health of your gums and teeth.

Risks of Untreated Gum Recession

Ignoring gum recession is a serious issue that can lead to lasting complications affecting oral and dental health if not managed in a timely manner.

As the gums continue to recede, the sensitive tooth roots become exposed, causing pronounced pain or sensitivity when consuming cold, hot, or acidic foods and drinks. This exposure also increases the risk of root caries, as these areas are harder to clean effectively.

Gum recession also creates spaces and deep periodontal pockets where bacteria and dental plaque accumulate, raising the risk of gingivitis and, subsequently, periodontitis (inflammation of the supporting tissues of the teeth). Over time, this can result in the gradual destruction of the bone surrounding the teeth.

In advanced stages of gum recession, the teeth lose part of their support in the jawbone, become mobile, and may eventually fall out. This affects chewing efficiency and speech clarity, in addition to altering the appearance of the smile and undermining self-confidence.

Neglecting the treatment of gum disease, including gum recession, has also been associated with an increased risk of certain systemic health problems, such as cardiovascular disease and poorly controlled diabetes, due to ongoing bacterial spread and chronic inflammation in the body.

For these reasons, early detection of gum recession and prompt consultation with a dentist are essential to prevent complications and maintain the long‑term health of the gums and teeth.

Conventional Treatment Options for Gum Recession

Conventional treatments for gum recession focus on halting disease progression and preserving the teeth as much as possible. The first step usually involves professional deep cleaning by a dentist or periodontist (scaling and root planing) to remove calculus (tartar) and dental plaque accumulated below the gumline, which are the primary causes of gum inflammation and subsequent recession.

In more advanced cases of gum recession, the dentist may recommend traditional periodontal surgery, such as flap surgery to access and clean deep periodontal pockets and root surfaces, or gum grafting procedures (gingival grafts) to replace lost gum tissue and protect exposed tooth roots.

Adjunctive pharmacological therapy is often used as well, including antiseptic mouth rinses and topical or systemic antibiotics when there is active gingival inflammation or bacterial infection.

Modifying daily habits is also a crucial component of treatment. This includes improving toothbrushing technique, using a soft-bristled toothbrush and dental floss or interdental cleaners, and quitting smoking. Such lifestyle changes help maintain the results of conventional treatment for gum recession and reduce the likelihood of relapse.

Conventional Treatment Options for Gum Recession

Laser Therapy: A Modern Technique for Treating Gum Recession

Laser therapy is one of the most advanced techniques used to treat gum recession with greater precision and gentleness compared to traditional surgical methods. Gingival lasers work by removing bacteria and inflamed tissue around tooth roots without causing significant bleeding or pain, allowing for thorough cleaning of periodontal pockets and stimulating the regeneration of supporting tissues.

Thanks to this advanced technology, tooth sensitivity can be reduced, the stability of teeth at risk of becoming loose can be improved, and healing is generally faster with minimal interruption to daily activities. Laser treatment is also a suitable option for patients who are anxious about gum surgery, as it offers high precision while reducing the need for extensive anesthesia and sutures.

When laser therapy is combined with deep dental cleaning (such as scaling and root planing) and proper daily oral care, gum recession can be controlled, and complications such as tooth loss and chronic periodontitis can be prevented. This makes laser treatment a sophisticated and effective option in managing gum recession and enhancing overall oral health.

Tips to Help Prevent Future Gum Recession

To maintain healthy gums and reduce the risk of gum recession in the future, it’s important to follow a consistent oral hygiene routine. Brush your teeth twice daily using a soft‑bristled toothbrush and a fluoride toothpaste, and avoid aggressive brushing techniques that can contribute to gum recession.

Use dental floss or interdental brushes once a day to clean between the teeth and remove food debris and dental plaque from areas that a toothbrush cannot reach, since plaque and tartar buildup are among the main causes of gum inflammation and recession.

It is advisable to visit your dentist or periodontist every six months for a gum check‑up and professional scaling to remove tartar at an early stage, before it leads to permanent damage—especially if you have a history of periodontal disease or a family history of gum recession.

Quitting smoking is a key step, as tobacco use impairs blood flow to the gums and significantly increases the risk of gingivitis, periodontitis, and gum recession.

You should also keep chronic conditions such as diabetes under good control and follow a balanced diet rich in vitamins and antioxidants—particularly vitamin C—to support gum tissue regeneration and strengthen the immune system.

If you suffer from bruxism (teeth grinding) or clenching, consult your dentist about using a night guard, as excessive pressure on the teeth can accelerate gum recession over time.

By maintaining these simple yet consistent habits, you can lower your risk of gum recession and support a healthy, stable smile in the long term.

Dr. Abeer’s Laser Gum Recession Treatment Services

Dr. Abeer provides comprehensive laser-based treatment for gum recession, using the latest evidence‑based protocols in both therapeutic and cosmetic periodontics.
Laser therapy works by stimulating regeneration of the tooth’s supporting tissues and precisely disinfecting periodontal pockets without conventional surgery, which helps minimize bleeding, reduce pain and swelling, and significantly shorten recovery time.

Her approach targets gum recession at its root cause by eliminating the bacteria responsible for gingival inflammation and reshaping the gum line around the teeth, while preserving as much healthy tissue as possible.

She also focuses on correcting gum recession around teeth, molars, and dental restorations such as crowns and veneers, to enhance tooth stability and improve the overall aesthetics of the smile.

Her services include developing an individualized treatment plan for each patient after thorough clinical examination and detailed imaging, along with tailored preventive guidance to maintain gum health and reduce the risk of future recession.
This makes laser treatment for gum recession a safe and effective option for patients seeking fast, predictable, and long‑lasting results.

Chronic Gingivitis

Frequently Asked Questions About Gum Recession

What is gum recession?

Gum recession is a condition where the gum tissue surrounding the teeth gradually pulls back, exposing the tooth roots. This can make teeth appear longer and increase sensitivity and risk of dental decay.

What causes gum recession?

Gum recession can be caused by several factors including gum disease, aggressive tooth brushing, smoking, genetics, teeth grinding, plaque buildup, and poor oral hygiene.

Is gum recession reversible?

Mild gum recession can sometimes be managed and stabilized through professional dental cleaning and improved oral hygiene. However, advanced gum recession may require treatments such as gum graft surgery or laser therapy.

Can gum recession lead to tooth loss?

Yes. If gum recession is left untreated, it may lead to bone loss around the teeth, tooth mobility, and eventually tooth loss in severe cases.

How is gum recession treated?

Treatment options may include:
Deep cleaning (scaling and root planing)
Gum graft surgery
Laser gum therapy
Antibiotic treatment for infection
The appropriate treatment depends on the severity of the condition.

Can laser therapy treat gum recession?

Yes. Laser treatment is a modern technique that removes bacteria and infected tissues with high precision while promoting gum healing and reducing pain and bleeding.

How can gum recession be prevented?

Prevention includes maintaining good oral hygiene, using a soft-bristled toothbrush, flossing daily, quitting smoking, controlling systemic diseases like diabetes, and visiting the dentist regularly.

When should I see a dentist for receding gums?

You should consult a dentist if you notice tooth sensitivity, gums pulling away from teeth, bleeding gums, bad breath, or changes in the appearance of your smile.

Scroll to Top