Bruxism (Teeth Grinding)

Bruxism

Table of Contents

Excessive teeth grinding and jaw clenching are known as “bruxism.” It’s an abnormal oral activity that is unrelated to normal jaw functions like eating and speaking. Although the exact underlying cause or causes of bruxism are not clearly understood by healthcare professionals, statistics show that between 50% and 96% of adults grind their teeth at some point in their lives.Teeth grinding also occurs regularly in up to one‑third of children, but it is most common in adults between the ages of 25 and 44.

What Is Bruxism?

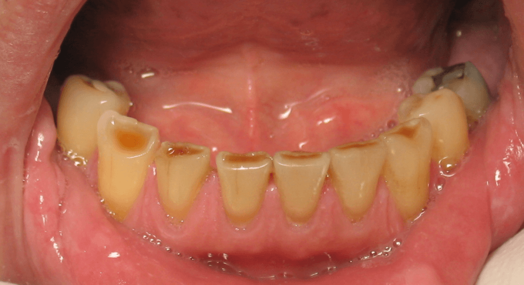
Bruxism is the habit of clenching or grinding your teeth. Your teeth are not meant to stay tightly together or in constant contact. Normally, your upper and lower teeth should only touch briefly when you swallow or chew.If your teeth are in frequent contact or you grind them continuously, this can wear down the tooth enamel—the hard outer layer that covers each tooth. Without enamel to protect the inner structures of your teeth, you may develop various dental problems.Regular clenching or grinding can also cause pain in the jaw joint or in the facial muscles. Bruxism most often occurs during sleep, but some people also experience it while they are awake.

Causes of Bruxism

Doctors do not always know what causes bruxism. In children, teeth grinding is more common in those diagnosed with attention-deficit/hyperactivity disorder (ADHD) or certain medical conditions such as cerebral palsy. Some medications can also trigger or worsen bruxism.In some children, bruxism occurs because their teeth are not properly aligned. In older children and adults, it may be linked to everyday stress or anxiety. Whether or not it leads to symptoms can depend on several factors. Possible causes and contributing factors include:

Complications of Bruxism

Bruxism, or teeth grinding, can lead to a range of complications that may affect both oral health and overall well-being. Potential complications include:

Treatment for Bruxism

Managing bruxism usually involves a combination of lifestyle changes, medical or dental interventions, and stress‑management techniques. Common treatment options include:

Preventing Bruxism

Preventing bruxism involves addressing underlying causes and building habits that protect your teeth and jaws. Strategies may include:

Leave a Comment

Scroll to Top