كيس الأسنان: الأسباب، الأعراض، طرق العلاج
إن كيس الأسنان غالبًا ما يكون كامن تحت سطح اللثة، وهو عبارة عن تشوهات مزعجة يمكن أن تتطور داخل تجويف […]
إن كيس الأسنان غالبًا ما يكون كامن تحت سطح اللثة، وهو عبارة عن تشوهات مزعجة يمكن أن تتطور داخل تجويف […]
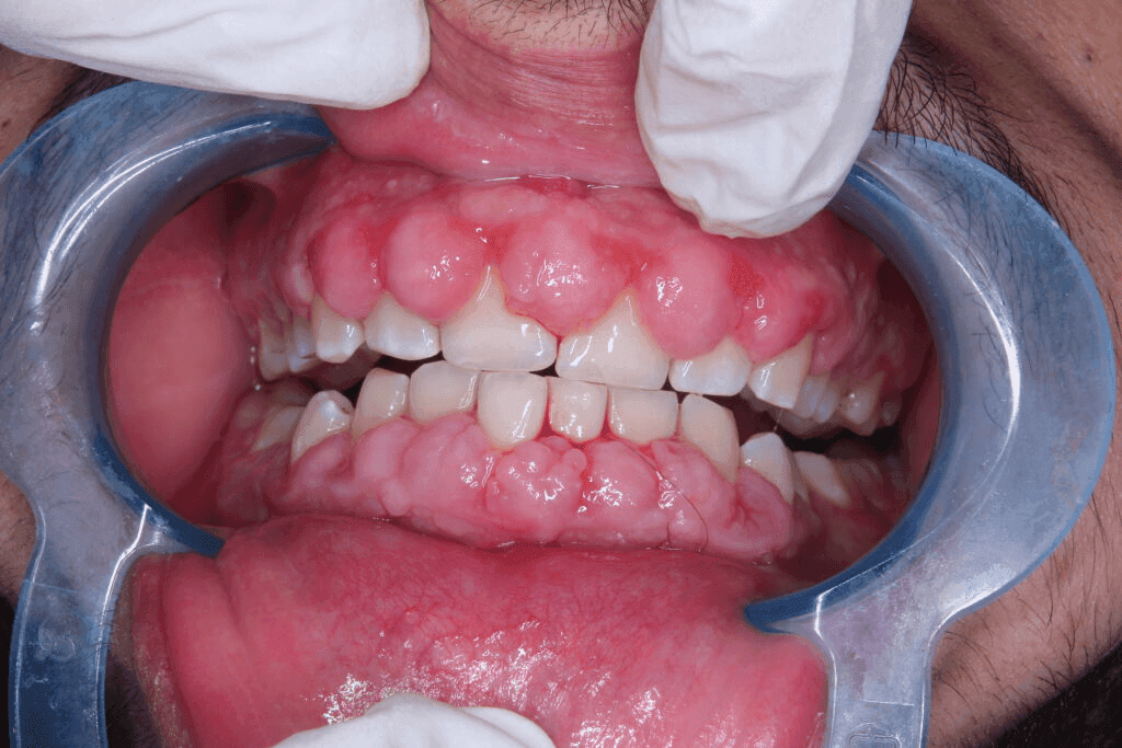
التهاب اللثة هو الشكل الأكثر شيوعًا لمرض اللثة، هذا الالتهاب البسيط للثة هو مشكلة أسنان شائعة ولا يشكل خطورة في
امرض اللثة هو حالة خطيرة يمكن أن يكون لها تأثير ضار على صحة الأسنان واللثة ونوعية حياة أولئك الذين يعانون
عندما ترى اللثة تتحول إلى اللون الأسود، فقد يكون ذلك سببًا للمشاكل وقد يشير إلى مشكلة صحية كامنة في الفم.
حساسية الاسنان هي شكوى شائعة تتعلق بالأسنان، والإزعاج المرتبط بهذه الحالة يمكن أن يؤثر بشكل كبير على راحة الفم وحتى
قد تكون الفجوة بين الأسنان أو الدياستيما مصدر قلق جمالي. وفي حين يُنظر إليها في بعض أنحاء العالم على أنها
ماهو تحجيم الأسنان يُعد تحجيم الأسنان أو تنظيف الأسنان من الإجراءات الشائعة في طب الأسنان والتي تهدف إلى إزالة البلاك
طربوش الاسنان و انواعه تلعب الأسنان دورًا حيويًا في جسم الإنسان ولكنها معرضة للتلف بمرور الوقت بسبب عوامل مختلفة مثل
ما هو تسوس الأسنان و اضراره يعاني العديد من الأطفال من الألم وعدم الراحة الناتجين عن تسوس الأسنان، ولا يتسبب
ترقيع العظام لزراعة الأسنان ترقيع العظام لزراعة الأسنان هو إجراء جراحي يهدف إلى استعادة بنية عظم الفك وكثافته لدعم زراعة