جدول المحتويات
ما هو الفينير التجميلي ولماذا يحتاج إلى عناية خاصة؟
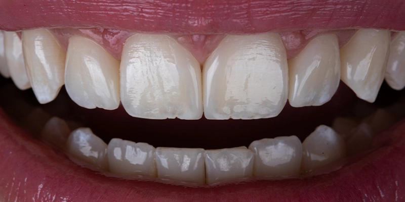
الفينير التجميلي هو قشور خزفية أو من البورسلين الرقيق تُلصق على السطح الخارجي للأسنان لتحسين شكلها ولونها وتصحيح العيوب مثل الفراغات والتصبغات والتآكل البسيط، ويُعد من أشهر إجراءات تجميل الأسنان الحديثة. يتميز الفينير التجميلي بقوة ومتانة عالية ومقاومة للتصبغات أكثر من مينا الأسنان الطبيعية، لكنه في الوقت نفسه يتطلب عناية خاصة لأنه لا يتجدد ذاتيًا، وأي كسر أو تلف غالبًا يحتاج إلى استبدال كامل.
كما أن تركيب عدسات الأسنان التجميلية يتطلب برد جزء من المينا، ما يجعل السن أكثر حساسية ويزيد أهمية الاهتمام بنظافة الفم واستخدام الفرشاة والخيط الطبي بانتظام للحفاظ على اللثة والسن الداعم تحت الفينير. إهمال العناية بالفينير قد يؤدي إلى تراكم البلاك والتسوس حول حواف القشرة التجميلية، والتهاب اللثة، وتغيّر لون الفينير مع الوقت، لذلك يُنصح بزيارة طبيب الأسنان الدوريًا وتجنّب العادات الضارة مثل قضم الأظافر وفتح الأشياء بالأسنان لضمان بقاء الفينير التجميلي لسنوات طويلة بمظهر صحي وجميل.

تنظيف الفينير: أفضل الطرق للحفاظ على اللمعان
تنظيف الفينير بشكل صحيح هو السر في الحفاظ على لمعانه الطبيعي وحمايته من التصبغات على المدى الطويل. استخدم فرشاة أسنان ناعمة مع معجون أسنان خالٍ من المواد الكاشطة لتنظيف الفينير مرتين يوميًا، مع الاهتمام بحواف اللثة حيث تتراكم طبقة البلاك والبكتيريا. احرص على تمرير خيط الأسنان الطبي أو خيط الأسنان المائي بين الأسنان يوميًا لإزالة بقايا الطعام ومنع التهاب اللثة الذي قد يهدد ثبات الفينير. تجنب معجون الأسنان المبيّض أو المركبات الخشنة التي قد تخدش سطح الفينير وتفقده اللمعان.
قلل من تناول المشروبات الملونة مثل القهوة والشاي والمشروبات الغازية، واغسل فمك بالماء بعد شربها مباشرة لتقليل التصبغات. زيارة طبيب الأسنان كل 6 أشهر ضرورية لإجراء تنظيف احترافي للفينير وصقل سطحه باستخدام أدوات مخصصة لا تؤذيه، مما يحافظ على مظهره اللامع والصحي لأطول فترة ممكنة.

العادات اليومية التي تؤثر على متانة الفينير
تلعب العادات اليومية دورًا حاسمًا في الحفاظ على متانة الفينير وجودته على المدى الطويل، فالإفراط في تناول الأطعمة الصلبة مثل المكسرات والثلج أو فتح العبوات بالأسنان قد يؤدي إلى تشقق عدسات الفينير أو انفصالها عن السن. كما أن عادة طحن الأسنان أو الضغط عليها ليلًا (الصرير) تضع ضغطًا زائدًا على الفينير وتقلل من عمره الافتراضي، لذا قد يوصي طبيب الأسنان باستخدام واقي ليلي لحماية عدسات الفينير. التدخين وكثرة تناول المشروبات الملونة مثل القهوة والشاي والمشروبات الغازية الداكنة قد يسبب تغيرًا تدريجيًا في لون الفينير وحواف اللثة المحيطة به، ما يؤثر على المظهر الجمالي للابتسامة. كذلك إهمال تنظيف الأسنان بانتظام،
وعدم استخدام الفرشاة والخيط وغسول الفم، يزيد من تراكم البلاك والجير حول الفينير، مما قد يؤدي إلى التهابات اللثة وتسوس الأسنان الداعمة أسفل العدسات. الحفاظ على عادات صحية يومية، والالتزام بتعليمات العناية بالفينير وزيارة طبيب الأسنان دوريًا، يساعد على إطالة عمر الفينير والحفاظ على ابتسامة مشرقة وثابتة لأطول فترة ممكنة.
قد يهمك: الفرق بين العدسات التجميلية للأسنان والفينير التقليدي
الأطعمة والمشروبات التي قد تغيّر لون الفينير
تناول بعض الأطعمة والمشروبات يمكن أن يؤثر تدريجيًا في لون الفينير ويُفسد مظهر الابتسامة البيضاء التي تم الحصول عليها بعد إجراء عدسات الأسنان.على الرغم من أن خامات الفينير عالية الجودة مقاومة للتصبغات إلى حد كبير، فإن الإفراط في تناول المشروبات الغنية بالصبغات مثل الشاي، القهوة، الكولا، النبيذ الأحمر، وعصائر الفواكه الداكنة قد يترك طبقة سطحية من التصبغات على العدسات مع مرور الوقت.كذلك، يمكن لبعض الأطعمة الداكنة مثل صوص الصويا، الكاتشب، الشوكولاتة الداكنة، التوت،
والشمندر أن تُحدث تغيرًا طفيفًا في لون الفينير خاصة في حال قلة العناية اليومية بالأسنان.كما أن التدخين والشيشة من أهم العوامل التي تُسرّع اصفرار الفينير وتراكم البقع على حواف العدسات وحول اللثة.للحفاظ على لون الفينير ثابتًا ولامعًا، يُنصح بتقليل تناول الأطعمة والمشروبات المسببة للتصبغات، وشرب الماء بعد القهوة أو الشاي، وتنظيف الأسنان والفينير بالفرشاة والمعجون المناسبين مرتين يوميًا، مع المتابعة الدورية عند طبيب الأسنان لإجراء تلميع احترافي عند الحاجة.هذا الروتين البسيط في العناية بالفينير يساعد على حماية investment في عدسات الأسنان ويحافظ على ابتسامة مشرقة لأطول فترة ممكنة.

هل يحتاج الفينير إلى جلسات تنظيف دورية عند الطبيب؟
نعم، يحتاج الفينير إلى جلسات تنظيف دورية عند طبيب الأسنان تمامًا مثل الأسنان الطبيعية للحفاظ على صحته ومظهره الجمالي على المدى الطويل. تساعد جلسات تنظيف الفينير الاحترافية في إزالة الجير والترسبات التي لا يمكن التخلص منها بالفرشاة وخيط الأسنان فقط، مما يقلل خطر التهابات اللثة وتسوس الأسنان الداعمة تحت عدسات الفينير.
كما يقوم الطبيب خلال الزيارة الدورية بفحص ثبات عدسات الفينير والتأكد من عدم وجود تشققات أو فراغات دقيقة بين الفينير والسن قد تسمح بتراكم البكتيريا. ينصح عادة بزيارة الطبيب كل 6 أشهر لإجراء تنظيف احترافي وتلميع الفينير للحفاظ على لمعانه ولونه الطبيعي، مع الالتزام بروتين العناية اليومية في المنزل. تساعد هذه المتابعة المنتظمة على إطالة عمر عدسات الفينير والحفاظ على ابتسامة صحية وجذابة مع الوقاية من أي مشكلات مستقبلية في اللثة أو الأسنان الداعمة.
تعرف على : مزايا و عيوب تبييض الاسنان بالفينير
الفرق بين العناية بالفينير والعناية بالأسنان الطبيعية
العناية بالفينير تشبه إلى حد كبير العناية بالأسنان الطبيعية، لكنها تحتاج إلى قدر أعلى من اللطف والاهتمام بالتفاصيل للحفاظ على مظهرها ولمعانها لأطول فترة ممكنة. فبينما تتحمل الأسنان الطبيعية معجون الأسنان العادي وبعض درجات الكشط، يُفضَّل استخدام معجون أسنان منخفض الكشط وفرشاة ناعمة عند تنظيف الفينير حتى لا تتعرض الطبقة الخارجية للخدش أو فقدان اللمعان. كما يجب تجنب فتح العلب أو قضم الأطعمة شديدة الصلابة بالأسنان المغطاة بالفينير،
لأن ذلك قد يؤدي إلى تصدّع العدسات أو انفصالها عن السن، على عكس الأسنان الطبيعية التي تمتلك قدرة أكبر على تحمّل قوى المضغ القوية. إضافة إلى ذلك، تُعَد زيارة طبيب الأسنان بانتظام لتنظيف الفينير وصقل سطحه خطوة أساسية في خطة العناية بالفينير، بينما قد يكتفي بعض الأشخاص ذوي الأسنان الطبيعية السليمة بجلسات تنظيف أقل تكرارًا نسبيًا. ورغم أن الفينير مقاوم للتسوس، فإن السن الطبيعي أسفله يبقى معرضًا للتسوس والتهابات اللثة،
لذلك تظل العناية اليومية الدقيقة بالخيط والفرشاة وغسول الفم ضرورية تمامًا كما في العناية بالأسنان الطبيعية، مع الالتزام بنمط غذائي متوازن وتقليل المشروبات الملونة للحفاظ على بياض الفينير وجمال الابتسامة.
اقرأ أكثر حول : أنواع فينير الأسنان

نصائح الدكتورة عبير للحفاظ على لمعان الفينير لسنوات طويلة
تؤكد الدكتورة عبير أن الحفاظ على لمعان الفينير يبدأ بالعناية اليومية المنتظمة، وذلك من خلال تنظيف الأسنان مرتين يوميًا بفرشاة ناعمة ومعجون أسنان غير كاشط مخصص للأسنان الحساسة أو للفينير، لتجنب خدش السطح اللامع للحشوات التجميلية.
كما تنصح باستخدام الخيط الطبي أو فرش ما بين الأسنان لإزالة بقايا الطعام والبلاك من حول حواف الفينير، لأن تراكم الجير يمكن أن يسبب التهاب اللثة وتغير لون الحواف، ما يؤثر على مظهر ابتسامتك. ولحماية الفينير من التصبغات، توصي الدكتورة عبير بالتقليل من المشروبات الداكنة مثل القهوة والشاي والنسكافيه والمشروبات الغازية الملونة، مع شرب الماء بعدها أو مضمضة الفم مباشرة لتقليل تأثير الصبغات، إضافة إلى تجنب التدخين لأنه من أكثر أسباب اصفرار الفينير. كما تشدد على تجنب استخدام الأسنان الأمامية في قضم الأطعمة الصلبة مثل الثلج والمكسرات والعظام أو فتح العبوات بالأسنان،
لأن هذه العادات قد تعرض عدسات الفينير للكسر أو التشقق. وإذا كنت تعاني من صرير الأسنان ليلًا، فتوصي الدكتورة عبير بارتداء واقي ليلي (Night Guard) يحمي الفينير من الضغط الزائد والتآكل. وأخيرًا، تعتبر زيارة طبيب الأسنان كل 6 أشهر لإجراء فحص دوري وتلميع احترافي للفينير خطوة أساسية للحفاظ على بياض ولمعان العدسات، واكتشاف أي مشكلة في مراحلها المبكرة قبل أن تتفاقم.

الأسئلة الشائعة حول العناية بالفينير
هل يمكن أن يتغير لون الفينير مع الوقت؟
الفينير المصنوع من البورسلين مقاوم للتصبغات بدرجة عالية، لكنه قد يفقد بعض لمعانه أو يتأثر بتراكم طبقة سطحية من البقع نتيجة الإفراط في القهوة، الشاي، التدخين، أو إهمال التنظيف اليومي. العناية المنتظمة وزيارات التلميع الدورية تحافظ على لونه لسنوات طويلة.
ماذا يحدث إذا انكسر أو انفصل الفينير؟
الفينير لا يلتئم أو يُصلّح ذاتيًا، لذلك في حال الكسر أو الانفصال غالبًا يحتاج إلى استبدال كامل. يُنصح بمراجعة طبيب الأسنان فورًا لتقييم الحالة ومنع تراكم البكتيريا أو تأثر السن الداعم.
هل الفينير يحمي الأسنان من التسوس؟
الفينير نفسه لا يتسوس، لكن السن الطبيعي الموجود تحته ما زال معرضًا للتسوس، خاصة عند حواف القشرة. لذلك تبقى العناية اليومية بالخيط والفرشاة ضرورية لمنع تسوس الأسنان أو التهاب اللثة.
هل يمكن ممارسة الحياة الطبيعية بعد تركيب الفينير؟
نعم، يمكن الأكل والتحدث بشكل طبيعي، لكن يجب تجنب قضم الأشياء الصلبة وفتح العبوات بالأسنان، واستخدام واقٍ ليلي في حال وجود صرير الأسنان للحفاظ على متانة الفينير.
كم يدوم الفينير التجميلي عادة؟
عند تركيبه بطريقة صحيحة والالتزام بالتعليمات، يمكن أن يدوم الفينير من 10 إلى 15 سنة أو أكثر. يعتمد العمر الافتراضي على جودة المادة، خبرة الطبيب، ونمط العناية اليومية.




